How to Temporarily Repair a Fractured Implant-Supported Zirconia Prosthesis
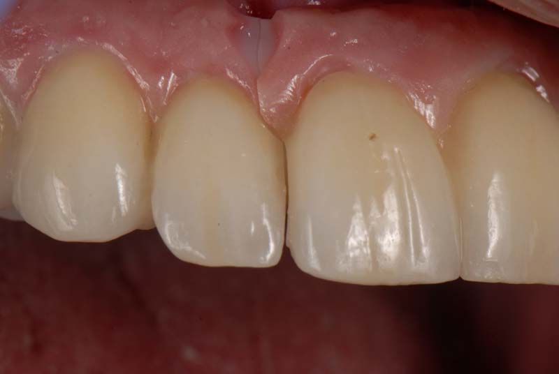
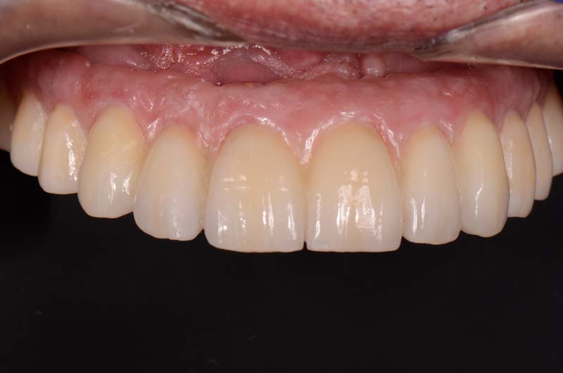
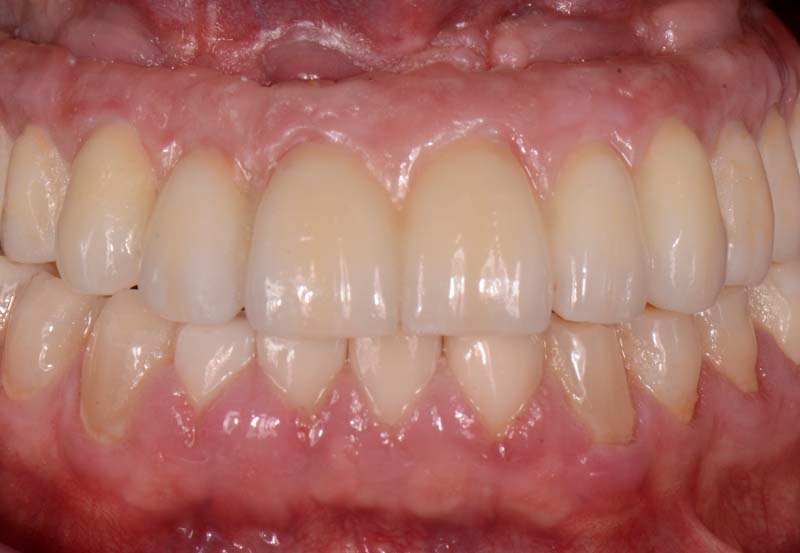
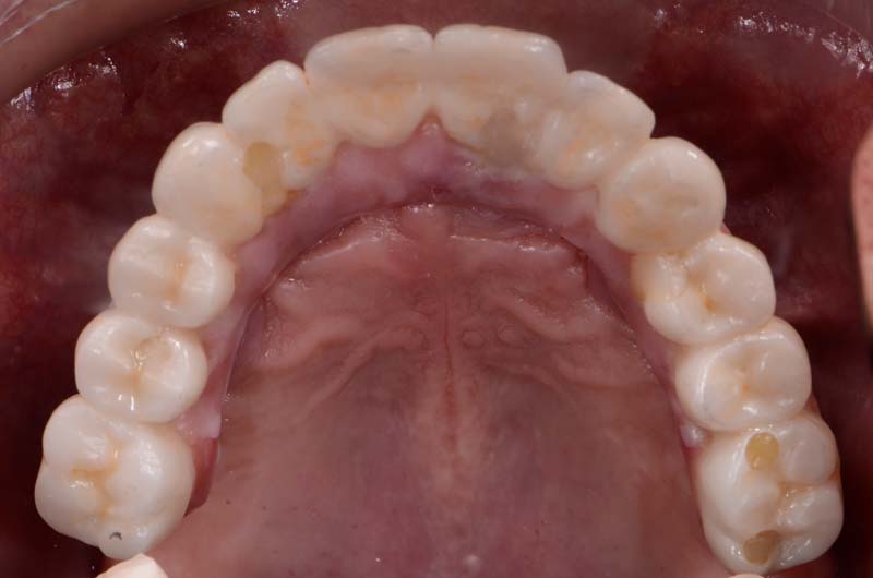
An infrequent but possible complication of delivering a full arch zirconia implant-supported prosthesis is the fracture of the zirconia framework. This complication can be seen more commonly in patients who exhibit parafunctional habits. This visual essay describes the basic steps of temporarily repairing a fractured implant-supported zirconia prosthesis. As you will see below (Fig. 7), I provide a step-by-step reparation protocol:
- Sandblast two bars of A102 (110 microns)
- Silane one minute per surface
- Allow five minutes to evaporate
- Apply bonding agent
- Cementation utilizing dual curing resin cement















This is a step-by-step technique for repairing a fractured zirconia implant-supported framework. It’s essential to clearly communicate to the patient that this is a temporary repair. At the same time, a new zirconia prosthesis has been fabricated, but it allows for the relatively easy and inexpensive treatment of emergencies.
VIRTUAL SEMINARS
The Campus CE Experience
– Online, Anywhere
Spear Virtual Seminars give you versatility to refine your clinical skills following the same lessons that you would at the Spear Campus in Scottsdale — but from anywhere, as a safe online alternative to large-attendance campus events. Ask an advisor how your practice can take advantage of this new CE option.

By: Ricardo Mitrani
Date: November 4, 2020
Featured Digest articles
Insights and advice from Spear Faculty and industry experts


