Why You Should Be Waxing Your Own Cases — At Least Occasionally
One of the most common struggles of taking a workshop or a seminar is implementation of the course material once you get home. The Spear Online platform makes it easy to look back on specific parts of the course I may need to refresh on, and as a Faculty Club member I can audit courses, but my personal struggle has always been implementation from start to finish.
It’s easy to start using parts and pieces of the workshop, but my challenge has been to implement the facially generated comprehensive treatment plan from start to finish. I started by mounting cases — they looked pretty, and I felt a sense of satisfaction with my shiny new articulator — but then I had to figure out what to do with the case. Slowly, through additional workshops, I started to see the end result I wanted to get to and could bullet-point the problem list and ways of getting to the desired result.
Another struggle was communicating with specialists and with the lab about how to get from mounted models to case completion, because each person who touches a case has a different idea in their heads of where the case is going. It’s like having three people read a fiction novel and then asking them to describe the main character’s home: They might all picture a log cabin in the mountains, but that leaves a lot of room for interpretation. Three people could be envisioning these three places:



Over the past year, I started doing something I hadn’t done a whole lot of since dental school: I started doing my own wax-ups. I’m not taking cases to completion when there are more than a few teeth involved, but I’ve found that sending a mounted case to the lab and asking them to create what you’re looking for off verbal instructions alone isn’t nearly as successful as giving them physical guidance to do what they do best.
If you can wax up the incisal edge position, you could potentially save both you and your technician a lot of time. If you can show your specialists what the end goal is, even if it isn’t the prettiest wax-up, you can treatment-plan more thoroughly and accurately before the patient is in the chair.

While treatment planning more effectively was a huge benefit of doing my own wax-ups, the greatest benefit has been in improving my hand skills. I’ve been placing direct composite over porcelain for a lot of anterior work over the past year or two, and being able to complete additive wax-ups before translating it into composite in the mouth has made treatment more efficient, far more predictable, and way more fun.
Waxing has given me a greater understanding of anterior guidance, a better sense of line angles and surface texture, and an overall better appreciation of what the technician is asked to create. My clinical skills have improved, and my grasp of a technician’s abilities and limitations are better appreciated.
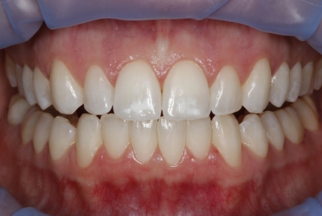
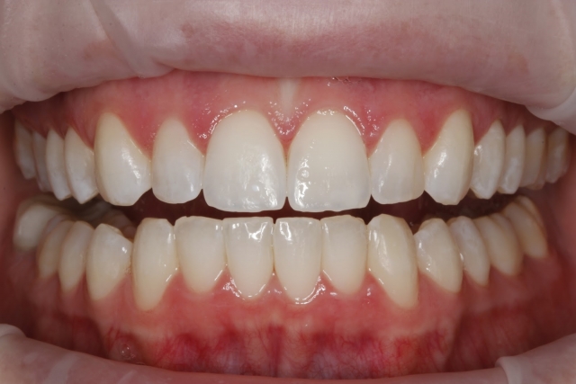
Recently, I had a new patient call on the emergency line. Her daughter fractured #8 on a tennis racquet at practice, but was scheduled to take “superlatives” photos for her high school yearbook that week — and one of her two superlatives was “Best Smile”!
I had the patient come in early the next morning before our typical day started. I realized the fracture would be best restored with composite, but I knew I’d get my best result if I had a matrix off a wax-up, so I could layer it and incorporate the high translucency and variation of value within the tooth.
While it would’ve been nice to send a case like this off to the lab, I had a devastated patient with important photos that week and time was a limitation. I took alginate impressions that morning, waxed up the tooth at lunch, and saw the patient for the composite at the end of my scheduled day.
If you had asked me to see this patient two years ago, I would’ve freehanded a direct composite, and I wouldn’t have had the ability to layer shades and control the translucency. The shape would’ve been achieved by over-bulking initially and finishing back to the final result.


I recently wrote an article on isolation, talking about how we ran for the hills from rubber dams when we graduated dental school. I think many of us left waxing to first-year anatomy class. It’s not something we have to do every day, or for every case, but having the tools available when you need them and when the case can benefit from them has proven invaluable for my practice.
VIRTUAL SEMINARS
The Campus CE Experience
– Online, Anywhere
Spear Virtual Seminars give you versatility to refine your clinical skills following the same lessons that you would at the Spear Campus in Scottsdale — but from anywhere, as a safe online alternative to large-attendance campus events. Ask an advisor how your practice can take advantage of this new CE option.

By: Courtney Lavigne
Date: October 18, 2017
Featured Digest articles
Insights and advice from Spear Faculty and industry experts


