Punishment for ‘Needing’ a MAD: Condemned to Suboptimal Treatment?


A perfect, unobstructed, smooth-flowing and properly functioning airway would be my wish for everyone.
My second wish would be to treat the “root cause” of the compromised airflow, whether it be orthodontic expansion, surgically facilitated orthodontic treatment (SFOT), mandibular advancement surgery, rhinoplasty and sinus reconstruction, or maybe just eliminating allergens and learning to breathe through the nose again, or any combination thereof.
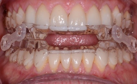
But what about the patient for whom a mandibular advancement device is the appropriate treatment for better sleep and airway?


Whether temporary or long-term, there are patients who need an appliance to “help them get worse at the slowest possible rate,” as Bob Barkley so eloquently stated.
The patient understands they’re compromised and could do more about their problem but they don’t. However, they might still need dentistry: They’re having their mandible pulled forward every night. Teeth might move. Skeletal structures might change. Why would we do more than “repair” them, addressing issues only as they arise? Why would we want to even discuss optimal treatment?
Every patient is entitled to know what optimal is, the benefit, the likely consequences of suboptimal, and the compromises of anything less. The process for the dentist can still be systematic, interdisciplinary in nature and somewhat predictable.
The dilemma
Perfected occlusion, as Dawson describes it, is “simultaneous equal intensity contacts on all teeth when the condyle–disc assemblies are completely seated in their respective sockets” and “the disclusion of all posterior teeth the moment the mandible moves from centric relation.”1
This sounds somewhat counterintuitive, because pulling the mandible forward every night has long been known, and currently confirmed in the literature, to cause unpredictable changes while opening the airway.


One 11-year study showed that “clinically significant changes in occlusion were observed and were progressive in nature. Rather than reaching a discernible end point, the dental side effects of MAS therapy continue with ongoing MAS use.”2
Maybe slightly less discouraging, yet an undeniable consequence that we’ve all seen to some extent and that’s also in current literature, is that “the use of MADs may lead to the development of TMD in a small number of patients. Nevertheless, these signs are most likely transient. Patients with preexisting signs and symptoms of TMD do not experience significant exacerbation of those signs and symptoms with MAD use.
“Furthermore, these may actually decrease over time. POB (posterior open bite) was found to develop in 17.9% of patients; however, only 28.6% of these patients were aware of any bite changes.”3
So, how does one even begin to plan possible treatment in such an unpredictable environment?
Systematic approach to visualize optimal esthetics and function
Understanding the current condition of the entire stomatognathic system and visualizing the ideal end result must always be a starting point. If we don’t begin with the optimal end in mind, how can we ever know what is possible and how any compromise might affect the otherwise optimal treatment?
A systematic approach helps shed light beyond the confusing starting point. You might be refer to it as global diagnosis, diagnostically driven treatment planning, or Facially Generated Treatment Planning, to name a few. The name is less important than the process for treatment planning, ranging from simple to complex. When working from the face or from the outside in, “the outcome of the esthetic treatment plan will be enhanced without sacrificing the structural, functional, and biological aspects of the patient’s dentition.”4

A recent article describes a case study restoring a 29-year-old woman with a history of stomach acid-related reflux and extensive loss of tooth structure, similar to what we see in many patients with airway or sleep issues. The author noted that the goal was to “improve the prognosis in each of the four dental categories — periodontal, biomechanical, functional, and dentofacial,” and that “the treatment plan utilized a systematic approach to sequentially restore and protect the young woman’s dentition.” 5
The verbiage is less important than the process. However, what might be more important when restoring a patient whose mandible is being held forward on a nightly basis is understanding and visualizing a stable physiologic position that will be challenged by the appliance.
A fully seated condylar position has been shown to be an optimal position at which to restore a patient when the joint space and disc are healthy, albeit controversial at times. Several recent studies demonstrate that “the condylar position is an important concern in maintaining or restoring temporomandibular harmony with the dentition, and the position of the condyle in the glenoid fossa plays an important role in the stability of occlusion,”6 and that it “contributes not only as a reference position to build optimal occlusion in artificial dentition, but is also related to sound periodontal health and stomatognatic function.”7
Visualizing the ideal function can be done using models to better understand the structure necessary to achieve the function and the likely compromises to suboptimal.
Once the ideal esthetics and function have been visualized, a key to restoring most patients — but especially patients wearing a MAD — is to involve the interdisciplinary team when discussing the ideal structure and supporting biology, to better understand the possible shortcomings from the compromise of wearing the appliance, and maybe more important, options for carefully and predictably phasing the treatment.

Interdisciplinary communication
Teeth may drift, treatment might need to be phased, or the occlusion might be compromised, all of which and more would benefit from intentional interaction with our specialists.
A recent article illustrates well that “the physiologic tooth position is determined by interactions between the periodontal tissue and occlusal, tongue, and lip forces,” which seems suspiciously familiar to conditions related to airway. It continues to illustrate that often a force or condition (similar to wearing an appliance that pulls the mandible forward every night) “disturbs the equilibrium of these interactive balances, leading to pathologic tooth migration, often requiring multidisciplinary treatment approaches,” and also reinforces the benefit of “a systematic periodontal–orthodontic–prosthetic treatment for achieving the optimal structural, functional, and esthetic outcomes.”8
A recent case study involving a patient with severe attrition — again similar to what we see in patients with airway and sleep issues — reinforces “how a stable occlusion can be obtained inexpensively. The end result of the segmented treatment remained optimal and esthetic,”9 demonstrating once more the benefit of not only visualizing the optimal final result but also including specialists in the process, creating an option for the patient to be ideally restored, regardless of time, money, or dental compromises.
Appropriate treatment
When the dentist has a clear vision and holds what is possible for the patient as a legitimate option, conversations change and treatment becomes more predictable, fun, and appropriate. The esthetic outcome is visualized, the functional outcome is founded on sound principles, the structure (restorative material, including enamel) is clear, especially with respect to longevity and phasing, and the biology to support the structure, including possible compromises, is clear.
Finally, the condition and treatment of the airway is understood, also including any compromises it will have on any of or all four other categories.
A recent article describes how “direct resin composite restorations made with the stamp technique are a valuable treatment option for restoring erosively worn dentitions,”10 illustrating that a systematic approach involving the interdisciplinary team allows the dentist to better identify which material makes most sense to restore patients, even patients who are wearing mandibular advancement devices.
A patient wearing a MAD can certainly be restored to an optimal esthetic and functional stomatognathic environment.


Moreover, understanding the compromise that the appliance brings to the system and the ideal restorative plan, steps can be taken to maintain the appropriate result as much as possible, with respect to the airway, esthetics, function, structure, and biology for that patient.
The best and most appropriate way to “help our patient get worse at the slowest possible rate” while supporting the “restored” patient, as opposed to the “repair as things break down” mentality, might be as simple as a morning deprogramming appliance to remind the body where to go and reinforce a more physiologic and stable environment.


Even a patient who is sending the entire stomatognathic system into a frenzy every night by wearing a MAD deserves the option to be optimally restored in a predictable manner, while all parties involved understand the compromises until the root cause is addressed and corrected.
References
- Dawson, P. Functional Occlusion: From TMJ to Smile Design, 2007, Mosby, p. 32
- Pliska BT, Nam H, Chen H, Lowe AA, Almeida FR. Obstructive sleep apnea and mandibular advancement splints: occlusal effects and progression of changes associated with a decade of treatment. J Clin Sleep Med. 2014; 10(12):1285-1291.
- Perez CV, de Leeuw R, Okeson JP, et al. The incidence and prevalence of temporomandibular disorders and posterior open bite in patients receiving mandibular advancement device therapy for obstructive sleep apnea. Sleep Breath. 2013; 17(1):323-332.
- Spear FM, Kokich VG, Mathews DP. Interdisciplinary management of anterior dental esthetics. J Am Dent Assoc. 2006; 137(2):160-169.
- Afshar A. A systematic approach to recreate a patient’s former smile. Compend Contin Educ Dent. 2012; 33(8)
- Kaur A, Natt AS, Mehra SK, Maheshwari K, Singh G, Kaur A. Improved Visualization and Assessment of Condylar Position in the Glenoid Fossa for Different Occlusions: A CBCT Study. J Contemp Dent Pract. 2016;17(8):679-686.
- Chhabra A, Chhabra N, Makkar S, Sharma A. The controversial issue of centric relation: a historical and current dental perspective?. Minerva Stomatol. 2011; 60(10):543-549.
- Kim YI, Kim MJ, Choi JI, Park SB. A multidisciplinary approach for the management of pathologic tooth migration in a patient with moderately advanced periodontal disease. Int J Periodontics Restorative Dent. 2012;32(2):225-230.
- Duffield LD. Segmenting Full-Mouth Reconstruction to Enable Financial Feasibility. Compend Contin Educ Dent. 2016; 37(6):390-394.
- Ramseyer ST, Helbling C, Lussi A. Posterior Vertical Bite Reconstructions of Erosively Worn Dentitions and the “Stamp Technique” – A Case Series with a Mean Observation Time of 40 Months. J Adhes Dent. 2015; 17(3):283-289.
SPEAR STUDY CLUB
Join a Club and Unite with
Like-Minded Peers
In virtual meetings or in-person, Study Club encourages collaboration on exclusive, real-world cases supported by curriculum from the industry leader in dental CE. Find the club closest to you today!

By: Kevin Kwiecien
Date: June 29, 2017
Featured Digest articles
Insights and advice from Spear Faculty and industry experts


