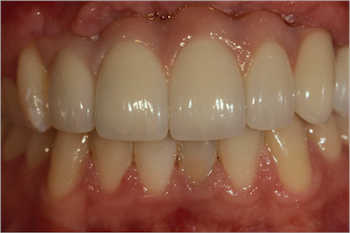
Pink Ceramic vs. Pink Composite for Soft Tissue Simulation

There is the need at times to simulate soft tissue with artificial materials because of ridge or papillae deficiencies. One of the goals of the restorative clinician is to create a long-term outcome for patients that requires minimal or no professional maintenance of the prosthesis. The three restorative choices to simulate soft tissue with a fixed prosthesis are:
- Pink ceramic
- Pink composite (alone or laminated onto a ceramic base)
- Pink heated processed acrylics or injected acrylic/composite. These are generally used only for removable prosthesis such as complete and partial dentures, or hybrid implant-supported prostheses, which may be removable or screw-retained, so they will not be further addressed.
There are pros and cons for virtually every technique and material. The key is to assess which option is the most predictable in a given clinical situation.
Pink ceramic
Advantages
- Nonporous
- Biologically compatible to soft tissue
- Can create a smooth, highly glazed, or polished surface
- A stable material — it does not change over time in color, surface, or overall integrity.
Disadvantages
- The color match to soft tissue can be challenging because of its tendency to be too violet or orange.
- The prosthesis is fabricated in a laboratory rather than directly in the patient’s mouth.
Pink composite
Advantages
- The color choices and match to natural tissue are generally better than ceramic.
- It can be applied or layered intraorally to achieve the best color match.
Disadvantages
- It is more porous than ceramic, and therefore will change color over time.
- The surface appearance will change over time, typically losing its luster.
- If the composite extends over the soft tissue in a thin layer to help hide the transition line between the prosthesis and the soft tissue, this composite overlay will need to be maintained periodically — possibly as often as yearly. Remember that using this technique compromises patient oral hygiene.
- It may need to be removed and replaced to maintain its original appearance and integrity.
- There is additional clinical time and expense for the initial procedure and for maintenance.
After weighing the risks and benefits, my general recommendation is to use pink ceramic as the restorative material. Unfortunately, at times this may result in a slightly compromised esthetic outcome. If the clinician chooses to use pink composite alone or laminated onto a pink ceramic base, I recommend the prosthesis be screw-retained or removable in the case of an implant restoration. This allows for it to be removed from the mouth for maintenance, both for prophylaxis and refinishing the composite.
VIRTUAL SEMINARS
The Campus CE Experience
– Online, Anywhere
Spear Virtual Seminars give you versatility to refine your clinical skills following the same lessons that you would at the Spear Campus in Scottsdale — but from anywhere, as a safe online alternative to large-attendance campus events. Ask an advisor how your practice can take advantage of this new CE option.

By: Robert Winter
Date: April 16, 2013
Featured Digest articles
Insights and advice from Spear Faculty and industry experts


