Getting to Know Papillae

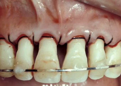
Papillae have been an intense area of focus of dental researchers for decades. Black triangles create fear in restorative dentists because most of us have not been taught why periodontium reacts the way it does. Understanding the biology and applying the principles discovered by research regarding the papillae can make working in the esthetic zone much more predictable and successful.
Papillae are very much like a coiled spring; when compressed, it will bounce back, and if it’s stretched, it goes back down. However, if we move papillae, it will regenerate back. How far back really depends on the patient, but the regeneration will re-create biologic width and produce a volume of tissue that’s coronal to the attachment. We can ultimately determine how tall the papillae will get by measuring the embrasure that balloon of fluid grows into.
Van-der-Velden-U conducted a study, Regeneration of the Interdental Soft Tissue Following Denudation Procedures, on posterior teeth to evaluate how much papillae regenerates on the average human. This study revealed that papillae consistently grow back at 4–4.5 mm above bone and develop a 2–2.5 mm sulcus depth.
SPEAR NAVIGATOR
Transform how your practice runs by engaging the team through
coaching and training
A guided path to excellence through structured coaching and self-guided resources that will align your team, streamline processes and drive growth. Transform your practice by implementing Spear’s proven playbooks for developing and retaining a high-performing dental team.

By: Mark Fleming
Date: August 1, 2012
Featured Digest articles
Insights and advice from Spear Faculty and industry experts


