Ovate Pontic Maryland Bridges for Implant Temporaries

Anterior implants are the most challenging implants to restore. Everything must be spot-on for them to be considered a success. With the advent of cone beam technology, ideal placement in the bone is more assured than previous. With platelet-rich growth factors and bone-morphogenic proteins, site development can be managed much easier than in the past.
But what about the soft tissue — how do we make sure it’s going to look the way we want? Ideally when the implant is placed, we would temporize with a screw-retained temporary. However, in the real world, ideal isn’t always possible. What do we do when we don’t get the primary stability, or a patient’s occlusion doesn’t allow for immediate temporization? The patient is going to need a temporary for anywhere from three to nine months, depending on bone quality and a surgeon’s implant protocol.
There is always the option of an interim partial denture. Some patients can’t tolerate them or just plain don’t want a removable piece in their mouth. Also, to get the interim partial to not bang on the implant site requires either soft reline material or a gap that will be unsightly. The interim partial also does nothing to help the final outcome.
When a Maryland-style bridge is the better option

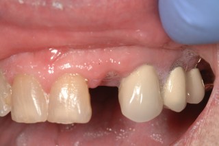
This is where an ovate pontic temporary Maryland or traditional bridge comes in handy. These can be made with a number of materials based off the diagnostic wax-up. If the patient has existing crowns that are going to be replaced, making an acrylic temporary is a viable option. If the patient has healthy teeth on either side, a Maryland-style bridge is a better option.
I have used fiber-reinforced resin (Rlike ibbond) and e.max in the past. A number of times, the wings can be created without having to prepare the teeth on either side. This can be done on the study models before surgery if desired. The ovate pontic is created to allow the gingiva to start forming the shape of the eventual papillae. The pontic will be 1–2 mm away from the cover screw of your implant, depending on the thickness of the overlying gingiva. This can be planned out with the CT and the diagnostic wax-up to make sure the distance is correct.
Enough distance to prevent damage
This should be close to the margin of your planned final abutment. This will give enough distance to prevent damage to the healing implant, but allow for proper emergence profile. And by making the connectors the proper size and distance from the new crest, the papillae shape can start to be realized.
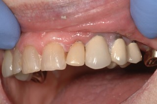
Once the implant is integrated, the temporary can be removed. At this time, a temporary abutment can be placed with a screw-retained temporary to allow the final healing to occur. Because the emergence profile is already started, less time is needed for the tissue to stabilize with the proper form. A fixed temporary with an ovate pontic gives the patient a more comfortable and esthetic temporary than a chunk of plastic and also helps predict the final outcome for the final restorations.
SPEAR campus
Hands-On Learning in Spear Workshops
With enhanced safety and sterilization measures in place, the Spear Campus is now reopened for hands-on clinical CE workshops. As you consider a trip to Scottsdale, please visit our campus page for more details, including information on instructors, CE curricula and dates that will work for your schedule.

By: Abigail Pfeiffer
Date: April 23, 2012
Featured Digest articles
Insights and advice from Spear Faculty and industry experts


