Modern Materials for Pulpal Protection
Calcium hydroxide has historically been the gold standard material used for maintaining pulp vitality in cases where the pulp has been exposed.1 Calcium hydroxide pastes work by both releasing calcium ions to help with the formation of a dentinal bridge and inducing a superficial zone of necrosis that can be toxic to both cariogenic bacteria and pulpal tissue. However, calcium hydroxide has shown limited success in preserving pulp vitality, leading to a negative reputation for vital pulp therapies.
In the 1990s, mineral trioxide aggregate (MTA) was introduced as a bioactive material that could be used for a range of procedures, including repairing perforations, creating an apical barrier for teeth with open apices, and maintaining vitality in pulpal exposures. MTA is a calcium silicate material that stimulates the formation of hard tissue when near the pulp. Studies have shown MTA can be successfully used to maintain pulp vitality, especially when compared to calcium hydroxide. Clinical trials comparing MTA with calcium hydroxide have shown failure rates of 19.7% for MTA, compared with a 31.5% failure rate with calcium hydroxide at two years.2
There are drawbacks of MTA such as the grey color of the material leading to unaesthetic restorations, its long setting time and the difficulty handling the material.3 As a result, other alternative bioactive materials, such as white MTA and bioceramics have been developed to accommodate for these shortcomings. Many of these newer bioactive materials have been as successful as MTA in protecting pulpal tissue and maintaining pulp vitality.4
To overcome the long setting time of MTA, resins have been added to some tricalcium silicate materials. Initial research showed these light-cured bioactive materials could help solve some of the issues associated with MTA. Early work on light-cured bioactive materials showed an increased amount of calcium released, decrease in solubility and easier handling of the material.5
However, the presence of resin in bioactive materials may have detrimental effects on pulpal tissue. Recently, in vitro studies have shown that the resin components in light-cured bioactives can induce inflammatory responses when in contact with pulpal tissue, limiting their healing potential when used for vital pulp therapies.6
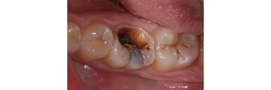
In this case study, tooth #19 had a large carious lesion and tested vital prior to caries excavation (Fig. 1).

Upon caries excavation, a pulp exposure occurred (Fig. 2).

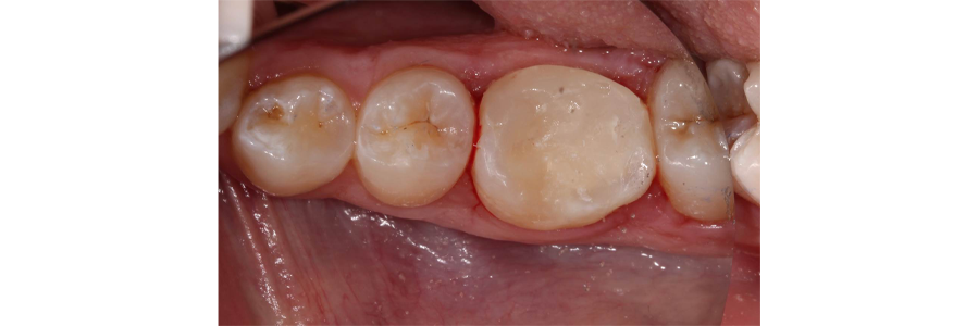
Hemostasis was achieved, and a bioceramic material was placed over the pulp exposure (Fig. 3) and the final restoration of composite was placed (Fig. 4).


References
- Alex, G. (2018). Direct and indirect pulp capping: a brief history, material innovations, and clinical case report. Compendium of Continuing Education in Dentistry, 39(3), 182-9.
- Hilton, T. J., Ferracane, J. L., Mancl, L., & Northwest Practice-based Research Collaborative in Evidence-based Dentistry (NWP). (2013). Comparison of CaOH with MTA for direct pulp capping: a PBRN randomized clinical trial. Journal of Dental Research, 92(7_suppl), S16-S22.
- Parirokh, M., & Torabinejad, M. (2010). Mineral trioxide aggregate: a comprehensive literature review—part I: chemical, physical, and antibacterial properties. Journal of Endodontics, 36(1), 16-27.
- Asgary, S., Hassanizadeh, R., Torabzadeh, H., & Eghbal, M. J. (2018). Treatment outcomes of 4 vital pulp therapies in mature molars. Journal of Endodontics, 44(4), 529-535.
- Gandolfi, M. G., Siboni, F., & Prati, C. (2012). Chemical–physical properties of TheraCal, a novel light‐curable MTA‐like material for pulp capping. International Endodontic Journal, 45(6), 571-579.
- Giraud, T., Jeanneau, C., Bergmann, M., Laurent, P., & About, I. (2018). Tricalcium silicate capping materials modulate pulp healing and inflammatory activity in vitro. Journal of Endodontics, 44(11), 1686-1691.
SPEAR campus
Hands-On Learning in Spear Workshops
With enhanced safety and sterilization measures in place, the Spear Campus is now reopened for hands-on clinical CE workshops. As you consider a trip to Scottsdale, please visit our campus page for more details, including information on instructors, CE curricula and dates that will work for your schedule.

By: Andy Janiga
Date: June 6, 2019
Featured Digest articles
Insights and advice from Spear Faculty and industry experts


