Why You Should Be ‘Micro-Etching’ Prior to Bonding
The intraoral sandblaster is a vital armamentarium in my practice for nearly every adhesive clinical procedure, direct or indirect. The two main benefits of micro-etching are its ability to clean preparations and create micro-roughness, both of which help to increase bond strengths.1, 2
Generally, whenever I bond a restoration (direct/indirect composite, veneers, partial coverage, full coverage), the first step in the bonding procedure is to micro-etch the preparation. Although there are other ways to “clean” the preparation, nothing is as effective or efficient as micro-etching.
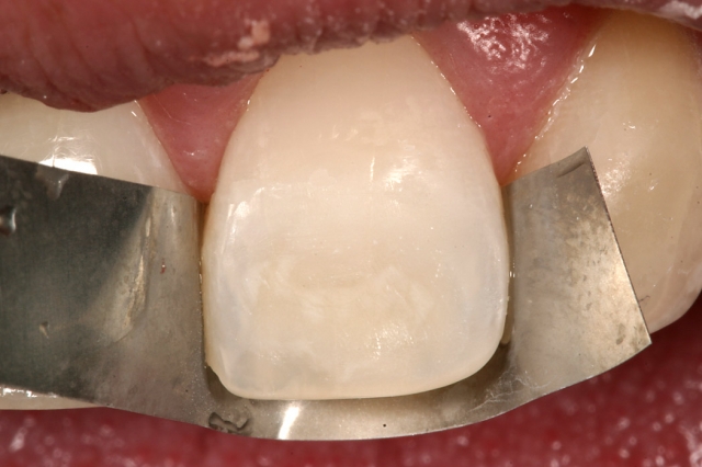
Two key factors that must be addressed when using an intraoral sandblaster are protecting the adjacent teeth/restorations and soft tissue. Protecting the adjacent teeth/restorations is relatively easy. It is best done with either a rubber dam or some form of matrix — preferably metal, as seen in Fig. 1.

Although Teflon tape or a Mylar strip are other options, they are either hard to insert or difficult to hold in place during the procedure. Also, because of the nature of these materials, the sandblaster can more easily perforate them.
Protecting the tissue from micro-etching can be a little more difficult. If the tissue is not adequately protected, it’s easy to create bleeding, which can be devastating for the bonding procedure.
The best way to protect the tissue is to place a rubber dam again, although this can be difficult depending on the margin location. In situations with deeper margins, I resort to placing a retraction cord. Although this doesn’t completely alleviate the issue, it does help by displacing the tissue.

What also helps is the micro-etcher that I use. For the past few years, I’ve been using the EtchMaster from Groman Dental (Fig. 2). This micro-etcher helps because it localizes the “spray” of the aluminum oxide in two ways:
- First, the size of tip is very small, so the direction of the spray can more easily be controlled. The other benefit of the small tip size is it helps limit the amount of overspray.
- Second, the tips come as a “unidose” product, designed for one-time use, so the spray stays localized every time. The more times a traditional micro-etcher is used, the more the internal part of the tip itself becomes abraded by the aluminum oxide particles, so over time, the spray out of the nozzle becomes increasingly “wider.”

Other benefits of the EtchMaster system include:
- The force of the micro-etcher is controlled by the rheostat, because the system attaches to the connecter for the slow-speed handpiece (Fig. 3).
- Multiple options are available for both the type and size of particles.
- The size of the unidose delivery units comes in both small and large.
If you’re practicing adhesive dentistry, make sure you’re also micro-etching.
References
- Flury S, Peutzfeldt A, Lussi A. (2015). Two pre-treatments for bonding to non-carious cervical root dentin. American Journal of Dentistry, 28(6), 362–366.
- Erkut S, Yilmaz B, Bagis B, Küçükeşmen C, Ozdemir E, Acar, O. (2014). Effect of different surface-cleaning techniques on the bond strength of composite resin restorations. The Journal of Prosthetic Dentistry, 112(4), 949–956.
SPEAR STUDY CLUB
Join a Club and Unite with
Like-Minded Peers
In virtual meetings or in-person, Study Club encourages collaboration on exclusive, real-world cases supported by curriculum from the industry leader in dental CE. Find the club closest to you today!

By: Greggory Kinzer
Date: September 23, 2017
Featured Digest articles
Insights and advice from Spear Faculty and industry experts


