Novaloc Overdenture System: A New Approach To Low-Profile Attachments

There are usually two emotional reactions when treatment involves removing all remaining natural teeth and creating a removable prosthesis to replace them. First, the patient becomes emotional when they finally realize they are getting all their remaining teeth removed, and second, the restorative dentist becomes emotional when they realize they need to find all the correct components for a specific implant system.

DougBenting Novaloc Overdenture System Fig.1
Figure 1: Straumann Novaloc abutments and attachments are available for bone level (BL), bone level X (BLX), and tissue level (TL & TLX).

I enjoy dentistry because I help edentulous patients with an area on their face that is visible, personal, and important for function, speech articulation, and expression.

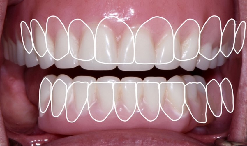
Recently, I worked with a great patient who presented with a fractured lower overdenture. One can only imagine the thoughts moving through her mind as she took the leap of faith required to move forward with treatment, which included a dental implant-supported overdenture that fractured soon after insertion.

DougBenting Novaloc Overdenture System Fig.2
Figure 2: Initial presentation (L) compared to the definitive restorative outcome (R) with the Novaloc attachment system for the lower overdenture.

The treatment for this patient included an upper and lower overdenture, each supported by four dental implants using the Novaloc attachment system. My goal was to quickly create a long-term, low-maintenance result for a patient forced into treatment for a new overdenture.

While creating a new upper and lower overdenture definitive restoration, I identified many scenarios in which a Straumann Novaloc attachment system could solve the most restorative challenges for edentulous patients.

The design features of the Novaloc attachment components caught my attention. While working with the system, I now understand how this could be our practice’s first-choice system for overdenture patients.

The design features of Straumann’s Novaloc attachment system include:

  • The PEEK attachment demonstrates a longer life span at 0 degrees, 7 degrees, and 12 degrees, representing an improvement over nylon attachments at 10,000 cycles.
  • The retention insert is designed to work around the external surfaces of the abutment – most likely to maintain a clean surface creating the retention as intended.
  • A 15-degree angle correction is available with the Novaloc abutments accommodating anatomic variations minimizing the accommodation required of the attachment.
  • The design of the PEEK retention insert helps absorb lateral pressure that occurs on insertion and removal, as well as during function.
  • The Novaloc housing is available in traditional titanium or a white PEEK version that improves the ability to mask color differences within the denture base.

Here’s how the Novaloc attachment system helped create a successful outcome for my patient.

Identifying Ideal Tooth Position

DougBenting Novaloc Overdenture System Fig.3
Figure 3: Initial presentation and treatment plan focused on identifying the desired tooth position in a 2-dimensional plane.
DougBenting Novaloc Overdenture System Fig.4
Figure 4: Initial presentation and treatment plan focused on identifying the desired tooth position in a 2-dimensional plane.

The patient was concerned about the prominent appearance of her teeth. She felt she didn’t look right when she saw herself in a mirror. To achieve the desired appearance, the initial plan was to shorten the incisal edges of her teeth and alter the occlusal plane.

The next step was to verify the restorative treatment plan intraorally with a trial prosthesis.

DougBenting Novaloc Overdenture System Fig.5
Figure 5: The patient was concerned about their teeth being too prominent, so we evaluated tooth position to determine the desired outcome.

As we worked through finding the desired tooth position, it became clear that the incisal edges, the occlusal plane, and the anterior to posterior position of the maxillary teeth required modifications.

The patient felt more comfortable with her tooth display once the upper teeth were set back toward the alveolar ridge.

However, restorative space becomes a concern when the upper teeth are moved back toward the residual alveolar ridge when working with any dental implant attachment system. I needed to determine if there was enough space to embed the attachment components within the acrylic base of the overdenture.

DougBenting Novaloc Overdenture System Fig.6
Figure 6: The maxillary impression picked up components for the Novaloc system and the PEEK housings positioned on the Novaloc abutments intraorally.

I positioned the Novaloc abutments to account for the thickness of the residual alveolar ridge soft tissues and the path of insertion and removal. At this point, the goal is to construct the definitive prosthesis using the foundation of the edentulous arch.

The restorative design for the patient’s overdenture included an intaglio framework supporting individual attachments. The patient’s priority was a durable overdenture due to the experience with the fracture of the initial overdenture. I designed the maxillary framework to accommodate an open palate should the patient ever want a change.

DougBenting Novaloc Overdenture System Fig.7
Figure 7: The maxillary overdenture prosthesis incorporates a metal intaglio framework, PEEK Novaloc attachment housings, and white PEEK Optiloc retention inserts.

The PEEK attachment housings in the Novaloc system provide a few unique advantages over the traditional metal housing. The white color is much easier to hide where the acrylic denture base is thin and potentially visible. The surface can be treated and bonded to the acrylic denture base instead of relying exclusively on retentive features incorporated into the surface of a metal housing.

DougBenting Novaloc Overdenture System Fig.8
Figure 8: The restorative outcome for upper and lower dental implant-supported overdentures using the Novaloc attachment system.
DougBenting Novaloc Overdenture System Fig.9
Figure 9: Changing the Optiloc PEEK retention insert was efficient and intuitive working with the Novaloc toolset.

When considering restorative options for edentulous patients, the Novaloc low-profile attachment system can be incorporated into the restorative design for almost any scenario. The Optiloc PEEK retention insert is durable over time, and the research rings true when I watched the patient work with the attachments and change the insert.

Novaloc designed the housing to allow expansion of the slotted retentive insert, which is likely most critical on insertion and removal of the overdenture and serves well during chewing function. The availability of PEEK housing in the Novaloc system provides advantages in the ability to bond the housing while hiding it within the denture base. The 15-degree angle correction available in stock abutments helps minimize the need for the attachment insert to accommodate divergence between multiple implants.

SPEAR campus

Hands-On Learning in Spear Workshops

With enhanced safety and sterilization measures in place, the Spear Campus is now reopened for hands-on clinical CE workshops. As you consider a trip to Scottsdale, please visit our campus page for more details, including information on instructors, CE curricula and dates that will work for your schedule.


Featured Digest articles

Insights and advice from Spear Faculty and industry experts