Predictable Ceramic Veneer Margins: Eliminate Unsupported Enamel with ‘Tornado Technique’
Ceramic veneers provide a wonderful restorative material to change shade, correct tooth positions, and restore ideal function to natural teeth. When implemented precisely, they provide long-term predictability and tremendous patient satisfaction. Proper tooth preparation is paramount for success and longevity.
In Spear’s Restorative Design workshop, Dr. Bob Winter and I teach participants the understanding and skills necessary in the preparation of crowns, veneers and partial coverage restorations. The system of depth cutting burs and diamonds helps each clinician achieve predictable success in the various tooth preparation designs.
Restorative Design introduces participants to the importance of smooth and precise margins that create more predictable impressions or scans and help provide minimal film thickness for adhesion. This smoothness comes from using fine diamonds at low speed. Electric motor handpieces are critical instruments for achieving these refined margins.
The following images provide a visual overview of the process and outcome of these restorative design techniques.

One of the most challenging aspects of veneer preparation for dentists is achieving smooth and precise interproximal margins. These margins must not leave unsupported enamel. The image (Fig. 1) shows that enamel rods are perpendicular to the external tooth surface. Unsupported enamel rods will fracture following veneer adhesion, resulting in marginal staining and secondary caries. It is critical that the interproximal margins are managed appropriately to eliminate this complication.
Breaking interproximal contact during veneer preparation allows for better veneer esthetics and contour, easier insertion, and improved dental hygiene. The goal is to balance conservative concepts and provide adequate interproximal opening for structure and convenience. The “Tornado Technique” of interproximal veneer preparation helps manage both parameters.

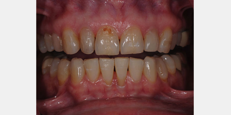
I will use my patient, Kathy, as an example for implementing the Tornado Technique for veneer preparation. Due to her esthetic and functional needs, Kathy requires anterior restorations.
It’s paramount to begin with the end in mind, relative to tooth preparation, and it is necessary to “visualize” the required tooth preparation before applying a bur to the tooth. This is referred to as “outcome-based design.”

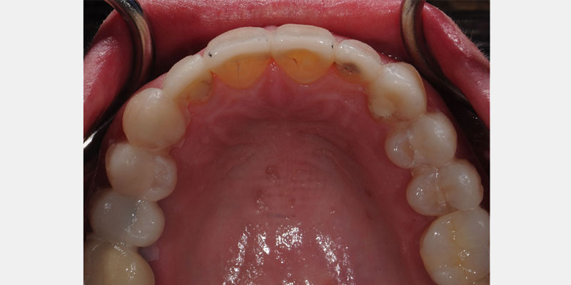
The diagnostic wax-up was fabricated. This photo (Fig. 3) is an occlusal view of the mock-up before tooth preparation. Her treatment plan is to utilize ceramic veneers on teeth #8 and #9. Teeth #6, #7, #10, and #11 will be full coverage due to the existing large lingual restorations. We will concentrate our attention on the veneer preparations.

Proper interproximal margin placement is crucial for veneer esthetic success and dental hygiene. In ideally arranged teeth, the interproximal cavosurface margin should be placed at least 1.0 mm lingual or palatal to the height of the interproximal papilla (Fig. 4).
Also, the prepared margin will be finished perpendicular to the tooth’s external surface. In this way, the enamel rods will not be left unsupported. The yellow dotted lines indicate the contour of the external tooth surface. The blue dot represents the position of the interproximal papilla. The red line designates the finish margin position 1.0 mm lingual to the papilla.

The amount of tooth preparation depends upon the desired shade changes and the ceramic material of choice selected for strength. Preparing the interproximal cavosurface margin perpendicular to the tooth’s outer surface is key.
The image (Fig. 5) provides a visual of the proposed veneer preparation and the direction and position of the finish line. Note the 90-degree margin positioning at the cavosurface.

By beginning with a vision of the outcome, it becomes easier to achieve the desired end result in preparing the teeth for ceramic veneers. This image of Kathy’s veneer preparations (Fig. 6) verifies that the requirements were accomplished.
The dotted lines that overlay this image provide reference to the preparation contours. The real challenge of the veneer preparations is establishing the proper margins at the interproximal. This is where the Tornado Technique of interproximal tooth preparation comes into play.

The action and movement of a tornado provides the analogy of the Tornado Technique for veneer preparation. A tornado (a dental handpiece) develops a tight spinning form (a diamond bur) that rises from a definitive point on the ground (the tooth margin).
Once formed and rotating, the tornado tracks in a definitive direction (handpiece moving interproximally 1.0 mm), then suddenly “spins off” in a lateral direction (diamond bur rotating “spins off” 90 degrees from the cavosurface).

The photo of Kathy’s veneer preparation provides a visual of the Tornado Technique (Fig. 8). The black dot represents the diamond in the handpiece. The handpiece is moved interproximally 1.0 mm lingually to the height of the papilla. As the proper margin position is reached, the handpiece is allowed to “spin off” the tooth to create a 90-degree margin. The black dots and arrows represent the effective movement of the handpiece to create the desired outcome.

This final photo (Fig. 9) represents Kathy’s provisional restorations. The tissue health and the ease of maintenance indicate the proper margin positioning and contouring.
I hope this Tornado Technique provides a solid visual image for strategically and effectively preparing interproximal veneer margins in clinical practice.
SPEAR campus
Hands-On Learning in Spear Workshops
With enhanced safety and sterilization measures in place, the Spear Campus is now reopened for hands-on clinical CE workshops. As you consider a trip to Scottsdale, please visit our campus page for more details, including information on instructors, CE curricula and dates that will work for your schedule.

By: Jeffrey Bonk
Date: November 18, 2019
Featured Digest articles
Insights and advice from Spear Faculty and industry experts


