Veneer Preparations: Advantages/Disadvantages of Breaking Interproximal Contact
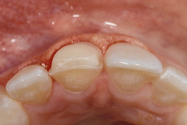
A very important factor that impacts the long-term esthetic and structural success of porcelain veneers is the preparation design, particularly the location of the proximal margins. The question comes down to this: Should you break interproximal contact or not? (Fig. 1 and 2)


This short article will discuss the advantages and disadvantages associated with breaking the interproximal contact. In a subsequent article, I will discuss the clinical situations that will influence and modify the placement of the interproximal preparation.
If the proximal contact between the prepared teeth is to be left intact, two preparation alternatives exist: the proximal margin is placed just labial to the natural interproximal contact or the preparation is carried halfway through the interproximal contact.
Advantages of leaving the proximal contact intact
- Conservation of tooth structure
- Preservation of enamel
Disadvantages of leaving the proximal contact intact
- Increased risk of tearing of the impression material below the contact
- May be difficult to cleanly section the stone model without damaging the proximal margins
- Lack of accessibility for finishing and polishing the interproximal margins when bonding the definitive veneers
- May allow for an unesthetic display of the interproximal margins, especially if staining develops at the margin
- Difficulty in removing interproximal stain or accessing interproximal caries at the restorative interface
The other preparation option is to prep through the interproximal contact and place the margins on the palatal surface of the tooth.
Advantages of breaking interproximal contact
- Easier “placement” of definitive restorations due to positive seat
- Better accessibility for finishing and polishing restorative margins
- Less risk of visible interproximal staining at margins
- Gives the technician more control of proximal contours
- Increase surface area for “bonding”
Disadvantages of breaking interproximal contact
- More tooth structure removal required
- Increased risk of exposing dentin
It is always one of my clinical goals to be more conservative. With this in mind, it is interesting to note that not all teeth are able to be prepared with facial preparation only. So, as a clinician you must choose which situations require you to break interproximal contact and which situations enable you to be more conservative.
In my next article, I will discuss the clinical situations that may influence the different types of tooth preparation.
Gregg Kinzer, D.D.S., M.S., Spear Faculty and Contributing Author
SPEAR campus
Hands-On Learning in Spear Workshops
With enhanced safety and sterilization measures in place, the Spear Campus is now reopened for hands-on clinical CE workshops. As you consider a trip to Scottsdale, please visit our campus page for more details, including information on instructors, CE curricula and dates that will work for your schedule.

By: Greggory Kinzer
Date: December 3, 2016
Featured Digest articles
Insights and advice from Spear Faculty and industry experts


