High Speed Brownie Points
There are many dental products available today to serve a multitude of different purposes, sometimes the number of choices can become overwhelming.
Certainly there are times that products designed for a specific purpose, such as composite adjustment and polishing kits are ideal for creating the correct form, texture and luster on anterior composites, be they class III or full composite veneers.
But other times what I want is something quick and easy to adjust the bite on a temporary restoration, and at the same time result in a smooth surface, or to refine the occlusal margin or occlusion on a posterior composite.
For me, one of the easiest to use, and least expensive products for the job is a high speed brownie, however I use the term “high speed” cautiously. The Brownie is a simple tool for adjusting, smoothing and polishing the occlusal surfaces of composite and temporary restorations.
I’ll never forget the first time I used one back in the 1970’s in dental school to polish an amalgam, all went fine until I lifted slightly off the tooth without letting up on the rheostat, suddenly the Brownie exploded into thin air, thankfully not injuring me or the patient.
Today, with electric handpieces, that isn’t a concern, just use 40 to 50 percent of the maximum rpm, for air turbines, lighten up on your foot pressure.
What makes them so effective is that they are very efficient at removing and polishing composite or acrylic, while at the same time they are very inefficient at removing natural tooth structure.
The combination allows them to be almost the perfect tool to remove excess composite on the occlusal surface of restorations, or refine the occlusal margins as well.
See the clinical images below and how the Brownie can be a good tool:
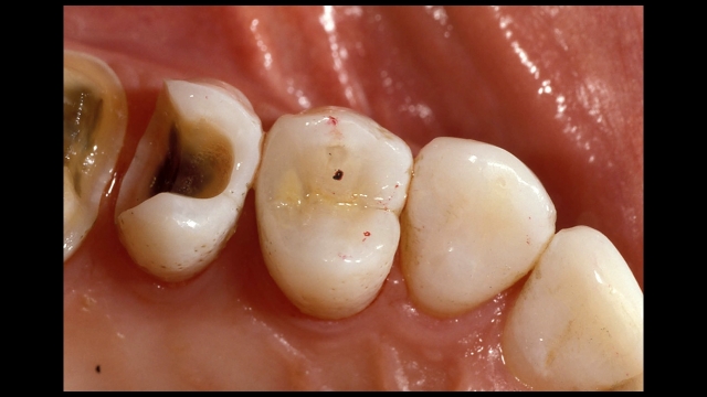
A typical patient requiring multiple posterior restorations (Fig. 1).

The first premolar will be a direct composite (Fig. 2).

Here after composite placement and finishing using a disc for the facial and lingual contours, and the Brownie across the occlusal margins (Fig. 3).

The pretreatment occlusal contacts were only on the mesial marginal ridges, now they are on the contact is on the new composite (Fig. 4).

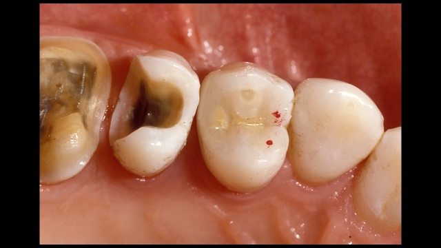
The Brownie can be run across the margin correcting the occlusion and polishing the composite while removing no tooth structure (Fig. 5).

Following the Brownie, the excess composite has been removed and polished, and the occlusal contacts are back on the mesial marginal ridges where they were pretreatment (Fig. 6)

VIRTUAL SEMINARS
The Campus CE Experience
– Online, Anywhere
Spear Virtual Seminars give you versatility to refine your clinical skills following the same lessons that you would at the Spear Campus in Scottsdale — but from anywhere, as a safe online alternative to large-attendance campus events. Ask an advisor how your practice can take advantage of this new CE option.

By: Frank Spear
Date: July 9, 2015
Featured Digest articles
Insights and advice from Spear Faculty and industry experts


