Ankylosis Part IV: The Use of Decoronation
Typically when managing ankylosis in permanent teeth in children, it is advisable to remove the ankylosed tooth prior to significant growth so that the subsequent eruption of the natural teeth during growth doesn’t create a significant hard and soft tissue defect. However, as surgeons know all to well, trying to extract ankylosed teeth can be a difficult undertaking.

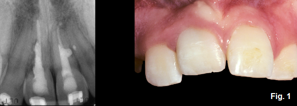
In this example, we have an 11-year-old male who received trauma to the maxillary anterior when he was 10 years old and subsequently had ankylosis of tooth #8. (Fig. 1)

As can be seen radiographically, the root resorption is occurring at a significant rate given that the trauma only occurred approximately one year ago. At this time though, there hasn’t been much change in the incisal edge or FGM positions. With this in mind, the tooth can be monitored. The parents are informed that continued recalls are imperative so that the tooth can be extracted prior to formation of a significant hard and soft tissue defect. This must be stressed to the parents because if the patient gets lost in the system or doesn’t return for recalls the defect will become greatly amplified and the treatment needed to correct it will be more difficult. At the age of 12, a change in the incisal edge position and FGM location can be seen. (Fig. 2)
Decoronation As a Solution
It was at this time that it was decided to remove the ankylosed tooth prior to the continuation of growth. Mamlgren et al. described a technique in a 2006 paper that discussed the use of decoronation in circumstances such as this. (Fig. 3)

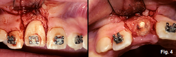
Rather than remove all of the tooth fragments, decoronation removes the crown of the tooth approximately 1mm below the osseous crest. (Fig. 4)

This will allow for the periosteum to grow over the remaining root creating a periosteal sling between the adjacent teeth over the edentulous ridge and underlying root. The creation of the periosteal sling will allow some vertical ridge development in the edentulous site due to the tension created by the eruption of the adjacent teeth, while the remaining root continues to undergo replacement resorption. (Fig. 5)

This decoronation technique has been modified to include hollowing out the internal of the root in addition to cutting off the coronal portion below the osseous crest. The benefit of this is that the resorption will occur at a more rapid rate as it will be occurring from the internal as well as the external aspect of the root.
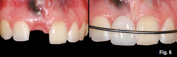
The difficulty in managing these patients with extraction of the ankylosed tooth is providing interim tooth replacement until the cessation of growth (this is especially true in males where growth may not be completed until 21-22 years of age). As can be seen though, when the patient is ready to undergo implant treatment, the ridge height is relatively good, making the management of the ridge more predictable for an implant or a pontic. (Fig. 6)

If decoronation is considered in the growing patient, the key is that provide the treatment prior to the patient undergoing significant growth.
(Click this link for more dentistry articles by Dr. Gregg Kinzer.)
Gregg Kinzer, D.D.S., M.S., Spear Faculty and Contributing Author
SPEAR campus
Hands-On Learning in Spear Workshops
With enhanced safety and sterilization measures in place, the Spear Campus is now reopened for hands-on clinical CE workshops. As you consider a trip to Scottsdale, please visit our campus page for more details, including information on instructors, CE curricula and dates that will work for your schedule.

By: Greggory Kinzer
Date: October 6, 2014
Featured Digest articles
Insights and advice from Spear Faculty and industry experts


