Implant Abutments: What Do I Choose?
Implant restorations can be really confusing. Even after restoring implants for 20 years, I still get lost when trying to sort out the components — especially when new products are introduced.

Our surgical colleagues are often asked to choose the implant abutment for the restorative dentist, and, because they want to keep us happy, they will often do that for us.
When we turn over restorative decisions to our surgeons, we are abdicating our responsibility to the patient. We are supposed to be the doctors who choose what goes on top of the implant.
For the sake of this discussion, let’s keep it simple: Do I choose a stock implant abutment or a custom implant abutment?

When Should You Use a Stock Implant Abutment?
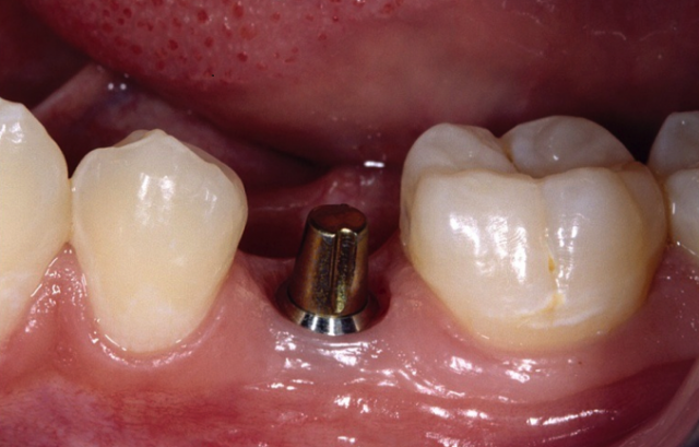
Stock implant abutments are manufactured to standard sizes and can be used on tissue — and bone-level implants. They are designed to be user-friendly and make impressions with ease. They are the most economical and are typically used for cement-retained restorations.
They can be straight or angled. They are best used for tissue-level implants that are not in the esthetic zone. The downside of stock implant abutments is that the tissue will conform to the shape of the implant abutment; if used in the esthetic zone, it’s very difficult for your ceramist to achieve optimal emergence contours and to have the tissue support be optimal relative to adjacent teeth.
The other challenge is that the final margin placement of the crown cannot be precisely controlled — it is dependent on the depth of the implant and the height of the abutment.

Benefits of Using Custom Implant Abutments
On the other hand, custom implant abutments are waxed or milled to a precise position relative to the crest of the tissue; they can be used at the bone or tissue level. There are many options for custom abutments; some are universal based upon a cemented coping, others are milled from a titanium or zirconia blank, and some are simple tubes upon which a wax-up is performed.
While more expensive, custom stock implant abutments provide much better tissue management and esthetics and, if managed correctly, work well for cemented crowns.
VIRTUAL SEMINARS
The Campus CE Experience
– Online, Anywhere
Spear Virtual Seminars give you versatility to refine your clinical skills following the same lessons that you would at the Spear Campus in Scottsdale — but from anywhere, as a safe online alternative to large-attendance campus events. Ask an advisor how your practice can take advantage of this new CE option.

By: Steve Ratcliff
Date: December 28, 2017
Featured Digest articles
Insights and advice from Spear Faculty and industry experts


