Dealing With a Loose Implant Crown
Have you ever had to deal with a loose implant crown? Implants are being used more and more in dentistry and if you have not dealt with this yet, chances are you will sooner or later. When it comes to loose implant crowns, I personally think the most difficult to deal with are cement-retained implants with a loosened abutment screw.
Even though implant design has improved greatly over the years and the incidence of screw loosening has decreased greatly, the simple fact is that screws still come loose occasionally. Not to mention, there are still a lot of older implants out there that are more prone to screw loosening.
The first step in dealing with any implant restoration is to determine the exact implant you are dealing with to ensure you have the right components ready and available. While this should be easy if the implant was placed while the patient was under your care, you may experience difficulty obtaining records if the implant was placed by another dentist prior to the patient being under your care. If you can’t find records that document the exact implant that you are dealing with, your job will be harder since there will be a risk of misidentifying the implant. On the bright side, many implant manufacturers have technical departments that are skilled in identifying implants based upon radiographs. The few times I have done this, they have accurately identified the implant.

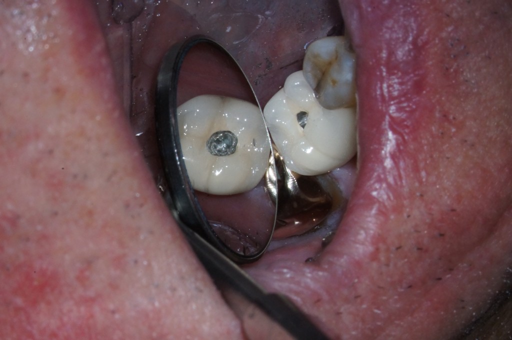
While you could try to tap the crown off the abutment, you are faced with two potential problems – breaking the abutment screw and damaging the internal threads of the implant. Due to this risk, I prefer to access the abutment screw though the crown leaving an access hole similar to an endodontic access. It’s worth noting if the crown is rotating on the implant, it can help you determine the location of the screw since it should be in the center of the point of rotation. It is important to remember that while you may place material such as cotton, wax or Teflon over the abutment screws, a previous dentist may not have used those materials.
When it comes to trying to find the screw my best advice is to make sure you aren’t pushing it too far. You do not want to damage the screw; this could complicate removing the screw, or worse, you could damage the implant itself. While you and your patient will be disappointed if you cannot save the crown, it will be much worse if you damage the implant and possibly lose the implant itself.
Even if you can’t safely locate the screw, you still have to get the restoration off, so the question now becomes “What now?” In cases like this, I like to cut the mesial and distal of the crown off to create a diastema on both sides that is large enough to allow you to rotate the crown to remove it. Of course the downside to this approach is the fact that the restoration is now ruined and the patient will need a new one. While we prefer to avoid this, it is far better than compromising the implant itself.
While I hope you don’t have a patient with a loose implant crown, I hope this will give you some ideas that will help you if you come across a patient with this problem.
John R. Carson, DDS, PC, Spear Visiting Faculty and Contributing Author [ www.johncarsondds.com ]
SPEAR NAVIGATOR
Transform how your practice runs by engaging the team through
coaching and training
A guided path to excellence through structured coaching and self-guided resources that will align your team, streamline processes and drive growth. Transform your practice by implementing Spear’s proven playbooks for developing and retaining a high-performing dental team.

By: John Carson
Date: January 11, 2016
Featured Digest articles
Insights and advice from Spear Faculty and industry experts



