Black Bugs Under Margins?

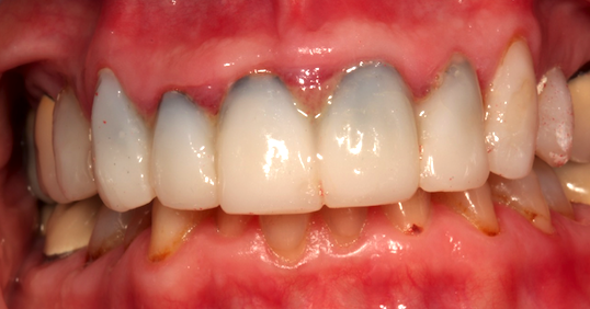
I received this image the other day with a question about what causes the black line under veneer provisionals. There are obviously tissue issues here as well and for our purposes here we will focus on the black line.
That line is actually an accumulation and proliferation of a bacteroides strain, an anaerobic bacteria that will stain dentin. It is a common contaminant in the mouth and will grow quickly under provisionals if they are not well sealed and if the tissue is not completely healthy prior to the preparation and provisionalization process.
Prevention is very easy. First, don’t prep teeth in the presence of unhealthy tissue! If the preps must be done in the presence of inflammation because of poor margins on existing restorations, then wait for the final impression until after the tissue is healthy.
Prior to luting the provisionals to the teeth, ensuring the excellence of the marginal integrity of the provisionals is critical to stopping, or at least minimizing, marginal leakage.
The second step prior to luting is to use either a chlorhexidine gluconate scrub such as Concepsis from Ultradent or a gluteraldehyde application such as Gluma from Heraeus. Both solutions are antibacterial and if applied according to the manufacturer’s directions will disinfect the surfaces of the preps and prevent the black line from forming.
FOUNDATIONS MEMBERSHIP
New Dentist?
This Program Is Just for You!
Spear’s Foundations membership is specifically for dentists in their first 0–5 years of practice. For less than you charge for one crown, get a full year of training that applies to your daily work, including guidance from trusted faculty and support from a community of peers — all for only $599 a year.

By: Steve Ratcliff
Date: July 30, 2013
Featured Digest articles
Insights and advice from Spear Faculty and industry experts


