Screw Retained Posterior Implant Crown Restorative Challenges
Implant restorations are often complex because every patient presents unique challenges. The first decision is whether to use a screw-retained or cement-retained restoration. In most cases, a screw-retained option is preferred, as it provides greater flexibility for adjustments and ensures a more secure placement. By contrast, cement-retained restorations carry a higher risk of excess cement becoming trapped below the gumline, which can lead to tissue inflammation and peri-implantitis. Once the type of restoration is selected, additional challenges may arise during the crown placement process.
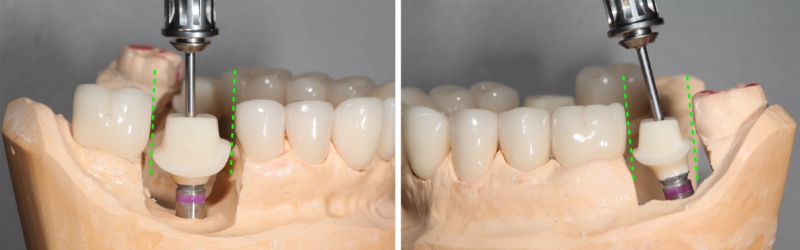
Creating the Optimal Implant Placement and Angulation
Determining the optimal implant crown placement and angulation can provide the next set of challenges. The more optimal the implant placement and angulation, the fewer insertion challenges. The implant angle relative to the adjacent interdental tooth contours must be considered. Too often, the implant is surgically angulated strictly by evaluation of the adjacent roots rather than considering the angulation of the interproximal tooth surfaces. If the implant is placed off-angle, changing from a straight to an angulated screw access may not solve the insertion path problem.
Most implant abutments extend into the head of the implant by several millimeters to take advantage of the Morris taper and engage in the timing of the “hex”. This insertion angle will dictate whether the interproximal surfaces of the restoration can pass by the interproximal surfaces of the adjacent teeth.
Challenges with the Insertion Path
Additional challenges may be encountered when determining the best insertion path. Solutions can be reached through a possible change to the contour of:
- The adjacent interproximal surface
- The interproximal surface of the restoration.
The negative consequence of altering the implant restoration form interproximally to allow this surface to pass by the adjacent tooth is the opening of the interdental gingival embrasure, which may result in a lateral food impaction area.
There are two things that dictate the insertion path of a screw-retained restoration:
- The angulation of the implant, and
- The interproximal surfaces of the adjacent teeth.
If a restoration insertion path problem cannot be solved by altering an interproximal surface, a cemented restoration may be required. If a two-piece abutment and crown are fabricated, I want you to know that what goes into the implant dictates the insertion path in addition to the interproximal contacts of the adjacent teeth.
Suppose you fabricate a separate abutment and crown to cement them together to make a one-piece screw-retained restoration. In that case, you should be careful if you try them independently. The abutment’s crown insertion path may differ from the abutment’s insertion path into the implant.
Visual Essay: Implant Crown Restorative Challenges and Solutions









Summary
When conducting a screw-retained posterior implant restoration, it is important to consider the optimal implant placement and angulation, as well as the intended insertion path. With careful planning, you can limit the impact of implant crown restorative challenges and improve the overall patient outcome.
SPEAR ONLINE
Team Training to Empower Every Role
Spear Online encourages team alignment with role-specific CE video lessons and other resources that enable office managers, assistants and everyone in your practice to understand how they contribute to better patient care.

By: Robert Winter
Date: August 4, 2022
Featured Digest articles
Insights and advice from Spear Faculty and industry experts


