Use a 212 Modified Clamp to Restore Cervical Carious & NCCLs on Adjacent Teeth
With Class V adhesive restorations having the lowest annual retention rate among all adhesive restorations and cervical carious and non-carious cervical lesions (NCCLs) common among adults, clinicians can expect to replace adhesive restorations multiple times during a patient’s lifetime.
Class V restorations represent a challenge for adhesive protocols because they have cervical margins that involve dentin and cement. Crevicular fluid and saliva are present, and in many clinical situations, they are very hard to control, especially in the posterior segment of the mouth.
However, using a modified clamp that enables the rubber dam to isolate the teeth completely improves access to restore cervical carious and NCCLs on adjacent teeth. Plus, it’s a technique that may solve Class V adhesive restoration challenges that many practicing restorative clinicians encounter.
The Challenges of NCCLs and Absolute Isolation
An NCCL is described as dental tissue lost at the cementoenamel union and presented in a semi-lunar shape or wedge form. There are many theories as to its etiology, but it is closely related to occlusal trauma, which can be produced during lateral excursive mandibular movements and parafunction.
Several factors that can cause an NCCL:
- Accumulation of tension
- Attrition
- Bio-corrosion of the dental structure
NCCL prevalence varies according to age, ranging from 31.6% to 81.3%, and geographical area — South America is 69% and Asia is 61%. Many research papers prove that incidence increases with age, as elderly patients have a higher risk of developing an NCCL, and their lesions are more extensive than those in younger patients.
Another factor to consider is the rising life expectancy of elderly patients worldwide, many of whom have exposed root surfaces with carious or NCCLs. These patients represent the high-risk groups that will more likely develop caries at the root surface of the affected tooth due to local conditions, deficient oral hygiene, tooth malposition, and various systemic factors such as decreased salivary production caused by medications used to treat hypertension. The production of saliva can also be affected by mental health medications and may result in a patient’s lack of oral hygiene habits.
For patients with cervical carious lesions and NCCLs that manifest with dentinal hypersensitivity, marked loss of dental tooth structure that can compromise pulp vitality, and high risk of developing caries due to some of the reasons mentioned earlier, the recommendation is to treat the teeth using direct adhesive restoration techniques.
However, to guarantee the longevity of these types of restorations, it’s recommended that clinicians follow minimally invasive protocols performed without contamination of the adhesive systems or of the surface that will be restored.
The use of absolute isolation by utilizing a rubber dam must be used in this type of clinical situation due to the proximity of crevicular fluid, the absence of cervical enamel, not to mention that the need to work in a controlled environment is much higher in the posterior area.
Absolute isolation using a rubber dam to restore Class V lesions has always been a burden for clinicians because it is considered a time-consuming procedure; therefore, many choose to do relative isolation to save time.
In 2015, contrary to what some believe, Loguercio demonstrated that the time it takes to restore NCCLs with absolute isolation using a rubber dam is similar to relative isolation. In addition, the trauma caused by either technique is similar and reversible.
For clinicians, patients with either thick periodontal phenotype and cervical carious lesions and NCCLs partially covered in the gingival margin by gum, or patients with fine periodontal phenotypes with exposed roots, retracting the underlying tissue will probably damage it.
Modifying a 212 Clamp
Utilizing absolute isolation with a rubber dam aided by a modified 212 clamp with one of its arches cut to decrease the force it exerts over the tooth will help reduce the risk of tooth fracture caused by a clamp, decreasing trauma to the periodontal tissue. In 1961, these advantages were described by Ingraham and Rex for the Gold Foil Technique.

To facilitate the use of a previously cut 212 modified clamp on the anterior and posterior teeth, a modification is made by making an internal bevel on the lingual surface of the clamp jaw.
When used on molars, the bevel increases the clamp’s stability, enhancing the clamp adjustment on the treated tooth’s cervical vestibular and lingual surface. This will turn the modified 212 clamp into a “universal clamp” that can be used in various clinical situations on anterior, posterior, upper, or lower teeth.

After making the bevel, a heat treatment is done on both clamp jaws and their position is changed to achieve a proper and better adjustment on the tooth surface that has root exposure. The vestibular jaw of the clamp will be tilted with a cervical inclination and the lingual jaw will be tilted with a coronal inclination — this way damage to the gum will be reduced.

These modifications will optimize tissue retraction during restorative procedures. The most significant distance obtained between the clamp jaws after the modification and the remaining arch will provide the clinician with the proper working space for an adequate composite resin stratification and proper finishing and polishing of the restoration.
Technique Steps Using a Modified 212 Clamp
In the following steps, a modified 212 clamp was used to treat a partially edentulous 67-year-old patient, who presented evident signs of parafunction and needed cervical restorations.
Be aware that potential problems, including the incorrect handling of the absolute isolation technique using a rubber dam and improperly using relative isolation, can cause a post-operative gingival recession, especially in patients with fine gingival phenotypes.
No clinical studies evaluated the effectiveness of the following technique.
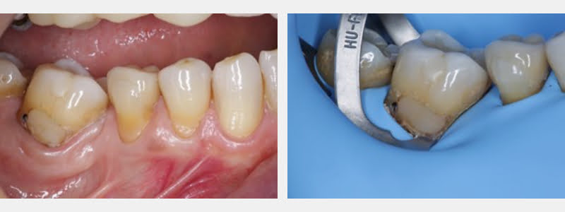
- Cervical carious and NCCL were identified on teeth #31, #29, and #28.
- Selected composite resin color before applying anesthesia.
- Administered anesthesia on the patient to isolate the operative field with a W3 clamp placed on the third molar. This widened the field of operatory visibility and maximized tissue retraction and facilitated the use of the modified 212 clamp.
- Performed an absolute isolation technique using a thick rubber dam lubricated with petroleum jelly on the shiny side to optimize tissue retraction on interproximal areas.
- Alternated placing the modified 212 clamp over the teeth to be restored to decrease the time the teeth had a clamp to help decrease the mechanical retraction caused on the gum tissue.
- Began treating the most distal tooth to decrease patient exhaustion during the procedure.
- Conditioned the substrates using hydroabrasion with 29 microns aluminum oxide at 2 psi on enamel and dentin.
- Selective etch of enamel for 30 seconds with phosphoric acid 37%.
- Rinsed and dried the cavities.
- Used a two-step adhesive system.
- Adhesive polymerization.
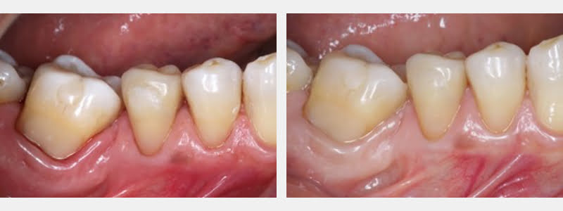
- Pre-heated composite resin stratification of the restoration.
- Performed finishing and polishing of the restoration using polishing discs.





Materials Used
- 6×6 thick dental dam
- Adult-sized young arch frame (rubber dam frame)
- W3 clamp for small-sized molars
- Modified 212 clamp for cervical restorations
- Composite multi-blade burs
- Aluminum oxide 29 microns
- Phosphoric acid 35%
- Adhesive system
- Micro-hybrid composite resin
- Composite heater
- Light curing lamp
- Polishing discs
Technique Pros and Cons
This technique aims to simplify absolute isolation using a rubber dam and direct restoration using a modified 212 clamp on a patient who had two adjacent teeth with cervical carious lesions and NCCLs, along with fine or thick periodontal phenotypes with exposed root surfaces.
By using a modified 212 clamp alternately between the teeth that will be restored, the time the procedure takes is optimized and the risk of periodontal tissue damage is reduced. Other advantages of this technique include:
- Protects the patient’s underlying soft tissue.
- Takes less clinical time because more than one adjacent tooth can be restored at a time.
- Decreases the risk of post-operative gingival recession when using a modified clamp that has proper adaptation to the cervical morphology.
- Allows the clinician to create a proper emergence profile for the restoration because an absolute isolation technique treats the more extensive mesial-distal area of the teeth, and the field of view is better, translating into a proper adaptation of the restoration.
- It affords the clinician a better polish and finish of the restoration because a modified 212 clamp widens the space between the clamp’s jaws and the arch, permitting the use of a contrangle to perform these procedures.
Some disadvantages of this technique include:
- It requires the clinician to handle absolute isolation techniques using the rubber dam properly.
- It requires knowledge of and handling of basic clamp modification guidelines.
SPEAR ONLINE
Team Training to Empower Every Role
Spear Online encourages team alignment with role-specific CE video lessons and other resources that enable office managers, assistants and everyone in your practice to understand how they contribute to better patient care.

By: Victor Guerrero
Date: June 2, 2021
Featured Digest articles
Insights and advice from Spear Faculty and industry experts


