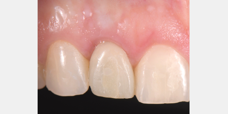
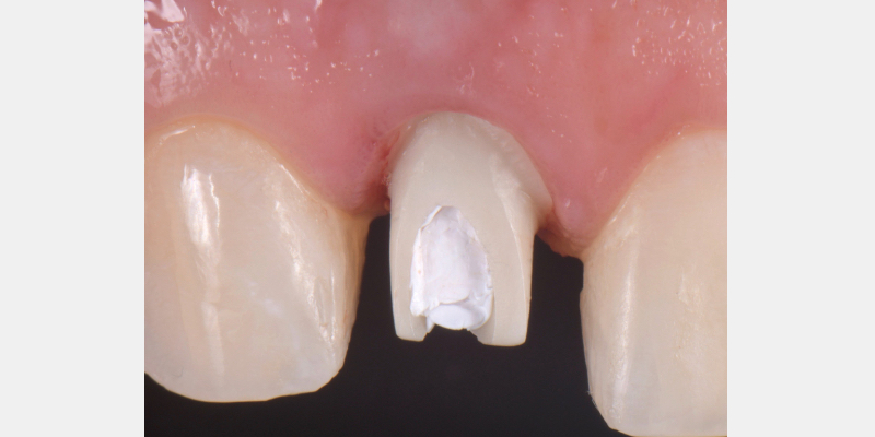
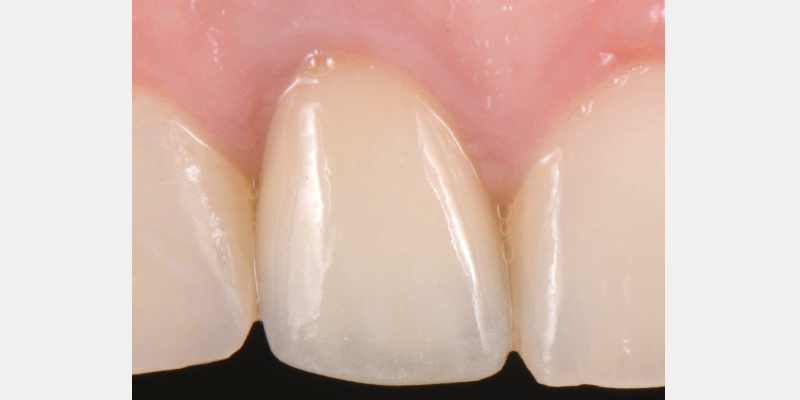
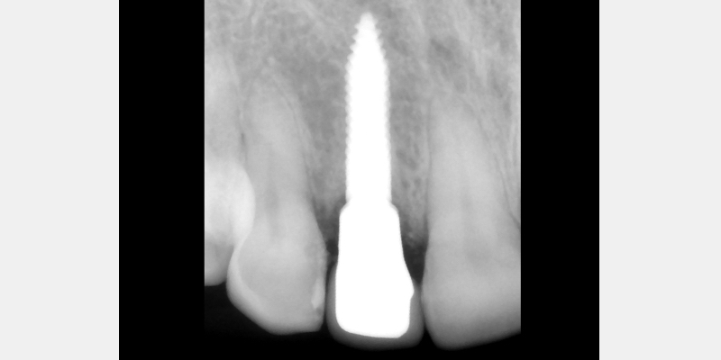
Silicone Jig Technique for Cement-Retained Implant Supported Restoration
One of the most common complications with cement-retained implant restorations is inflammation around the crown. Excess cement can lead to peri-implant diseases such as peri-implant mucositis and even bone loss. A key factor to understand is the biological difference between teeth and implants — particularly the structure of the junctional epithelium and connective tissue — which makes removing residual cement around the restoration more difficult.
Here is a simple, step-by-step technique for fabricating a silicone jig to avoid excess cement in a cement-retained implant-supported restoration. It can be applied to a single crown or to an implant-supported cement-retained bridge.



















References
- Wadhwani, C., & Piñeyro, A. (2009). Technique for controlling the cement for an implant crown. Journal of Prosthetic Dentistry, 102(1), 57-58.
- Present, S., & Levine, R. A. (2013). Techniques to control or avoid cement around implant-retained restorations. Compendium of Continuing Education in Dentistry, 34(6), 432-437.
SPEAR STUDY CLUB
Join a Club and Unite with
Like-Minded Peers
In virtual meetings or in-person, Study Club encourages collaboration on exclusive, real-world cases supported by curriculum from the industry leader in dental CE. Find the club closest to you today!

By: Ricardo Mitrani
Date: January 11, 2021
Featured Digest articles
Insights and advice from Spear Faculty and industry experts


