A Hot Tip for Handling Your Anterior Composite Emergency Patients
Layering anterior composites has almost become the standard of care today. With products on the market like Estelite Omega by Tokuyama, composites can be fun, beautiful, and relatively easy to place with some practice.
I’ve become pretty dependent upon the use of a wax-up to layer my composites, and it’s my go-to material of choice. I usually try to see if I can talk myself out of composite before considering porcelain. When we can plan and have complete control over a situation, it’s ideal.
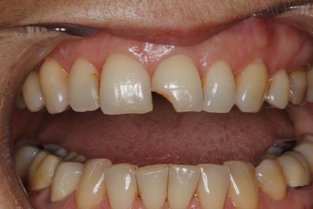
But emergencies happen. Last week, I had a new patient come in who’d fractured off previous bonding the night before. She stayed home from work and wasn’t comfortable seeing anyone until the break had been repaired.

Rather than bulking and cutting back to achieve the shape I desired, I created an intraoral matrix to use in the same way I use one from a wax-up. I did this by placing a single shade of direct composite pretty quickly and polishing it slightly. I didn’t etch or place any adhesive, so after creating a lingual matrix, it popped off easily.

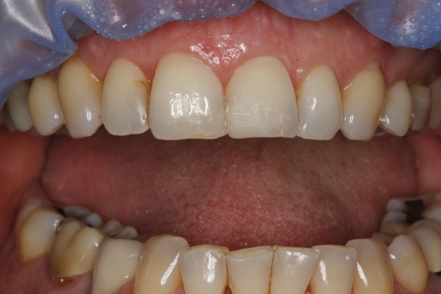
I then created a facial bevel and lingual chamfer, and used the matrix to place five layers of composite with some tints to match the adjacent teeth.

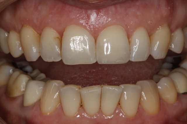
Actual treatment took about 40 minutes, start to finish, after determining the plan and discussing what we’d do. I could never have achieved this result in that amount of time without a lingual matrix.

This is an easy way to simulate a wax-up when necessary in an emergency situation, and you’ll rarely find a more thankful patient!
SPEAR campus
Hands-On Learning in Spear Workshops
With enhanced safety and sterilization measures in place, the Spear Campus is now reopened for hands-on clinical CE workshops. As you consider a trip to Scottsdale, please visit our campus page for more details, including information on instructors, CE curricula and dates that will work for your schedule.

By: Courtney Lavigne
Date: January 20, 2019
Featured Digest articles
Insights and advice from Spear Faculty and industry experts


