A Guide To Impression-Making: Technique Rationale, Cords Selection and Gingival Manipulation
A prerequisite for long-lasting indirect restoration is a perfect marginal fit, which requires a precise impression. A perfect impression should be captured, in an un-deformed manner, of the entire configuration of the prepared tooth and some of the pristine tooth structures beyond the finishing line.
The elastomeric impression materials used for accurate impressions are polyvinyl siloxanes (PVS) and polyethers (PE). Due to their optimal resistance to deformation, accuracy, good dimensional stability, and tear resistance, PVS is still the material of choice for most dentists. 1
The double mix (putty and light or heavy and light) technique and the traditional two-step putty/wash technique will be described together with proper selection and use of retraction cords for soft tissue manipulation.
Gingival Manipulation and Cords Selection
Regardless of the technique or material used, gingival manipulation is a major factor in the success of impression-making. The intra-sulcular finishing line, which corresponds to the majority of clinical situations, demands proper gingival deflection to provide space for the impression material.



An impression will be taken only in the conditions of complete health of the soft tissues. A routine mapping of the sulcus and a proper selection of cords is mandatory. According to the position of the preparation margins, a decision should be made regarding using a single- or double-cord technique. Just so you know, for juxtagingival preparation, a single cord is sufficient to ensure a slight apicalization of the gingival margins for sufficient exposure of the finishing line to the impression material. Cord insertion is recommended to deflect the tissue laterally and retract it apically.
Retraction Cords: General Characteristics
Retraction cords can be categorised according to:
- Material: cotton or PTFE (polytetrafluoroethylene — Teflon)
- Configuration: twisted, braided and knitted
- Chemical composition: impregnated (sulfate salts-aluminum, zinc) and non-impregnated
- Size

Non-impregnated cords can be used with hemostatic/astringent solutions or gels (Hemodent — Gingival retraction cord, Premier Dental Products, U.S.A) just before use.
If the cord is impregnated with a hemostatic/astringent solution, it should be kept in the sulcus no longer than 15 minutes to avoid damaging the periodontal tissues. For this reason, when several abutments are involved, rinsing the cords after this time is recommended to prevent soft-tissue damage. 2, 3 Very thin spatulas should be used for easy and atraumatic insertion of the cords.

Double-Cord Technique
The first apically-located cord is generally a smaller diameter and will remain in place during the entire procedure. The purpose of the first cord is to retract the tissues in an apical direction and to block thin material remnants torn from the set impression from penetrating and remaining in the sulcus. It’s recommended to start rolling the first cord from the interproximal area where the sulcus depth is larger and the tissue (papilla versus free gingival margin) is stiffer, allowing the cord to be fixed more easily.
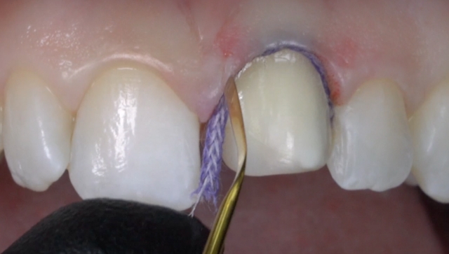
In most cases, the second superficial cord is impregnated with hemostatic/astringent solution and placed at the level of the finishing line so that its superficial part is always visible after insertion. This superficial cord is typically thicker than the first cord and aimed at laterally deflecting the gingiva and creating enough space for the impression material to capture the preparation margin.
Once the cords are inserted, the clinician can proceed for a one-stage or two-stage impression technique. The main difference between the two is where and when the light body material will be injected.
Clinical Steps: Two-Step, Putty/Wash Technique
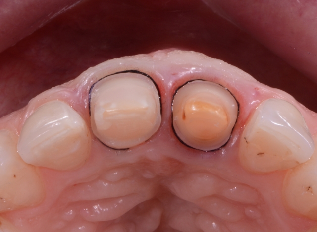
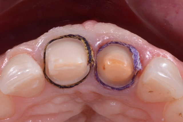
In cases where several abutments are to be imprinted, a definitive path of insertion and removal of the putty is mandatory to facilitate the tray’s reinsertion without distortions of the putty material. Proper parallelism between the prepared teeth is preferred for this technique, and no undercuts are present. To expose the margins of the preparation, a smaller-sized first cord was chosen (000 Ultrapack, Ultradent Products, Inc., USA).

After placing the first cord, an initial impression (putty material, Zhermack Spa Italy) of the prepared teeth was taken with a rigid stock tray.

The diameter of the second cord should be chosen according to the amount of deflection needed, considering the gingival biotype. Due to the difference in the positioning of the finishing line into the sulcus, two sizes for the second cords were chosen. Tooth #8 (11) being prepared for a full crown would need more deflection of the soft tissues to expose the preparation margin, so a #0 cord in size (Ultrapack, Ultradent Products, Inc., USA) was chosen. Tooth #9 (21) has been more minimally prepared for a veneer, so a thinner cord #00 would ensure the necessary deflection.



Modifications should then be made to the previously set putty. The modifications include cutting out all of the interproximal undercuts to ensure an easy and one-way insertion pattern of the set putty, which is crucial to avoid distortions, pressure, and tearing of the putty material. Then, channels are carved to allow the excess wash material to be vented away later. This carving uses a Deta-Cut (Detax Dental GmbH &CO.KG) core removal knife. The channels are placed externally to and within the indentation of the abutments in the axial and occlusal walls.


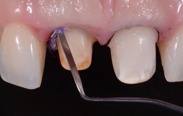
While doing so, special attention is required to prevent damage to the finishing line captured previously in the set putty. The second cord is gently removed, and at the same time, the low-viscosity PVS material is injected into the tray.

The loaded tray is placed over the prepared teeth to a full seat while the first, deeper cords remain in place. Sometimes the first cord is removed along with the impression, which should not cause problems for the technician as long as it is attached to the material and remains beyond the margins of the prepared teeth.


Double Mix Technique: Putty/Light, Heavy Body/Light
This technique has the advantage of being less time-consuming but, at the same time, more technically sensitive. With this technique, the putty or heavy body and the light body will set simultaneously, and the light body material will be injected around the prepared teeth simultaneously with the removal of the second cord, in the case of the double cord technique being used.



Reference
- Fradeani, M., & Barducci, G. (2008). Esthetic rehabilitation in fixed prosthodontics. Quintessence Publishing Company.
- Kopač, I., Cvetko, E., Pavlica, Z., & Marion, L. (2001). Gingival tissue inflammatory response following treatment with chemical retraction agents in Beagle dogs. Pflügers Archive, 442(Suppl 1), r145-r146.
- Dragoo, M. R., & Williams, G. B. (1981). Periodontal tissue reactions to restorative procedures. International Journal of Periodontics & Restorative Dentistry, 1(1).
SPEAR campus
Hands-On Learning in Spear Workshops
With enhanced safety and sterilization measures in place, the Spear Campus is now reopened for hands-on clinical CE workshops. As you consider a trip to Scottsdale, please visit our campus page for more details, including information on instructors, CE curricula and dates that will work for your schedule.

By: Mirela Feraru
Date: October 17, 2018
Featured Digest articles
Insights and advice from Spear Faculty and industry experts


