Fabrication of a Single-Tooth Implant Provisional Restoration: A Visual Essay
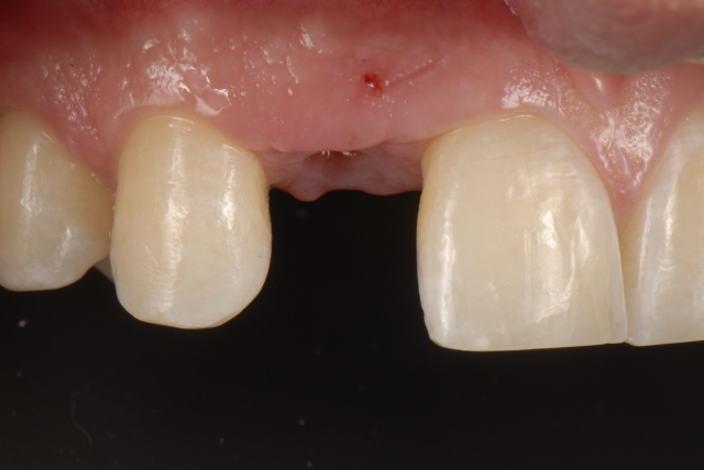
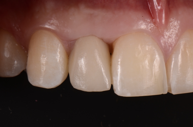
Single-tooth implants in the esthetic zone usually require a provisional restoration. The fabrication of a single-tooth implant-supported restoration requires a careful step-by-step approach to deliver a restoration that will assist the process of soft-tissue sculpting.
Here is a multi-step process showing the fabrication sequence of a screw-retained single-tooth implant provisional restoration of a lateral incisor.













SPEAR campus
Hands-On Learning in Spear Workshops
With enhanced safety and sterilization measures in place, the Spear Campus is now reopened for hands-on clinical CE workshops. As you consider a trip to Scottsdale, please visit our campus page for more details, including information on instructors, CE curricula and dates that will work for your schedule.

By: Ricardo Mitrani
Date: July 18, 2018
Featured Digest articles
Insights and advice from Spear Faculty and industry experts


