Recommended Photography Series
Spear recommends a series of 18 photographs to completely document the current state of your patient’s facial and oral status. This series of photographs is used in the Facially Generated Treatment Planning concept and includes facial and intraoral views. These photos are used:
- As a visual representation of the patient’s status, and should be incorporated into their clinical record
- As a communication aid when leading the patient on a guided discovery to identify existing problems and suggest possible treatment options
- For diagnostic purposes
- As a visual aid when communicating with interdisciplinary team members.
Composition of each photograph is critical so the information being assessed is accurate. Improper angulation can cause distortion of the photograph, which leads to an improper perspective of the problem. Please refer to my article “Composing Photographs: Capturing the Correct Perspective” for techniques to improve the accuracy of your clinical dental photographs.
Extraoral photographs
There are eight photographs in this series. The photographs of the head must be taken in a natural, posturally-correct position.
Full-head portrait, frontal view, with lips in repose (± 4 mm apart)

This is used to evaluate:
- Facial proportions/symmetry/skeletal-jaw relationship
- Interpupillary line relative to the horizon
- Length of upper lip
- Anterior tooth display
Full-head portrait, frontal view, of maximum smile

This is used to evaluate:
- Facial proportions/symmetry/skeletal jaw relationship
- Interpupillary line relative to horizon
- Relationship to face and horizon:
- Base of nose
- Upper and lower lips
- Incisal and occlusal planes of both arches
- Gingival display and level
- Tooth display, position, arrangement and proportion
- Lip dynamics
Full-head portrait, sagittal view, right side, in repose

This is used to evaluate:
- Facial/skeletal jaw relationship
- Tooth display
Full-head portrait, sagittal view, right side in maximum smile

This is used to evaluate:
- Facial/skeletal jaw relationship
- Tooth display, position, and inclination
Frontal view (close-up, 1:2) of lips in repose.

This is used to evaluate:
- Anterior tooth display
- Incisal plane
Frontal view (close-up, 1:2) of maximum smile

This is used to evaluate:
- Tooth display, position, arrangement, and proportion
- Incisal and occlusal planes of both arches if visible
- Gingival display/level
- Lip dynamics
Three-quarter view (close-up, 1:2) of maximum smile, right side

This is used to evaluate:
- Tooth display and angulation
- Gingival display/level
- Incisal and occlusal planes of both arches if visible
Three-quarter view (close-up, 1:2) of maximum smile, left side

This is used to evaluate:
- Tooth display and angulation
- Gingival display/level
- Incisal and occlusal planes of both arches if visible
Intraoral photographs
There are 10 photographs in this series, taken close-up at approximately 1:2 magnification.
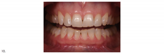
Frontal view, teeth in maximum intercuspation

This is used to evaluate:
- Anterior overbite
- Tooth condition, position, arrangement, and proportion
- Gingival condition, gingival, and papillae level
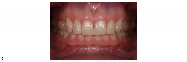
Frontal view, anterior teeth separated by 2–4 mm

This is used to evaluate:
- Tooth condition, position, arrangement and proportion
- Incisal plane of both arches
- Occlusal plane of both arches
- Gingival condition and papillae levels
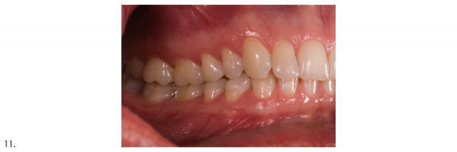
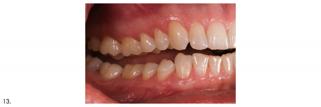
Buccal view, right and left lateral posteriors, teeth in maximum intercuspation


Taken into the mirror, these are used to evaluate:
- Tooth/jaw relationship
- Tooth condition, position, arrangement, and proportion
- Gingival condition, gingival and papillae levels
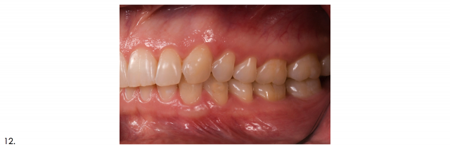
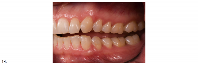
Buccal view, right and left lateral posteriors, teeth separated by 2–4 mm


These are taken into a mirror and used for:
- Incisal and occlusal planes
- Inclination of anterior teeth relative to occlusal plane
- Tooth condition, position, arrangement and proportion
- Gingival condition, gingival and papillae levels
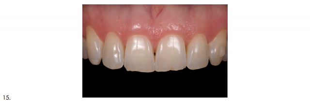
Maxillary anterior teeth

This is used to evaluate:
- Tooth condition, position, arrangement and proportion
- Incisal plane
- Gingival condition, gingival and papillae levels
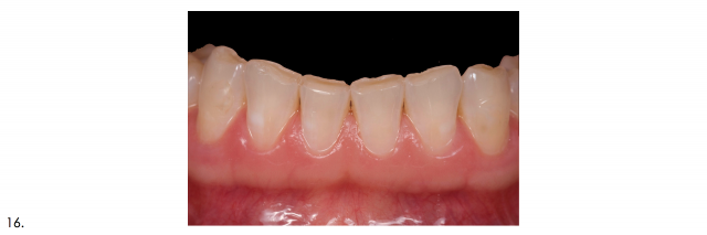
Mandibular anterior teeth

This is used to evaluate:
- Tooth condition, position, arrangement, and proportion
- Incisal plane
- Gingival condition, gingival and papillae levels
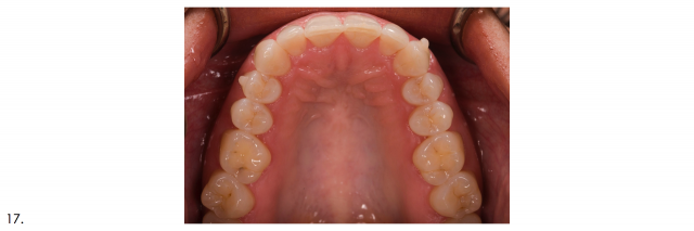
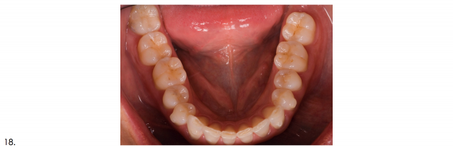
Maxillary and mandibular arches, occlusal view


Taken into the mirror, these are used to evaluate:
- Tooth condition, position and arrangement
- Arch form
And a bonus shot
An additional photograph I find extremely valuable is a frontal portrait, natural head posture, with the lips retracted and anterior teeth separated by approximately 2–4 mm.

In this one photograph, I can compare the interpupillary line with the incisal and occlusal planes. The composition of this photograph is explained in the article “My Favorite Photograph: it Tells the Whole Story (Almost).”
Photos for airway conversations
If you would like to engage your patient in discussion about airway, supplemental photographs would be helpful. These are:
Throat: tonsil area

Use a mirror to depress the tongue.
Tongue: resting position and lingual frenum


Place the tongue on the palate and then have the patient open as wide as possible, keeping the tongue on the palate. Take the photograph with the tongue in this position.
Nose

Basal view relaxed and with deep inspiration.
Recording the patient’s current condition is extremely valuable from a diagnostic prospective and as a communication tool. The article “Composing Photographs: Capturing the Correct Perspective” describes how to capture each image so it conveys the most accurate information.
VIRTUAL SEMINARS
The Campus CE Experience
– Online, Anywhere
Spear Virtual Seminars give you versatility to refine your clinical skills following the same lessons that you would at the Spear Campus in Scottsdale — but from anywhere, as a safe online alternative to large-attendance campus events. Ask an advisor how your practice can take advantage of this new CE option.

By: Robert Winter
Date: April 18, 2018
Featured Digest articles
Insights and advice from Spear Faculty and industry experts


