Less Is More: Building Functional Esthetics on a Budget
Transitioning from a graduate program into private practice has been an interesting move! I completed my prosthodontics training two years ago and opened my own specialty dental practice right away. Coming into the private practice world, having been accustomed to treating everyone comprehensively from A to Z with definitive restorations, I quickly realized I would need to utilize my vast knowledge of dental materials to help patients transition from where they are to a more stable, long-term solution -even if that meant compromising a little on my end in terms of composite resin vs. ceramic. Utilizing direct composite resin has allowed me to continue to provide comprehensive care, but on a “budget” for my patients.
I must first say, the word “budget” is relative. When I say “budget” to patients, what I mean is: “I can do this treatment for $15,000 rather than $25,000.” It is sometimes still cost-prohibitive for some patients in my practice to move forward with treatment.
For the patients who can afford these types of treatments, I’ve been very successful at providing functional esthetics on a budget. I want to share one of my success stories, which utilized bonded composite resin and a comprehensive treatment plan.
Case Study: EFSB on a Budget
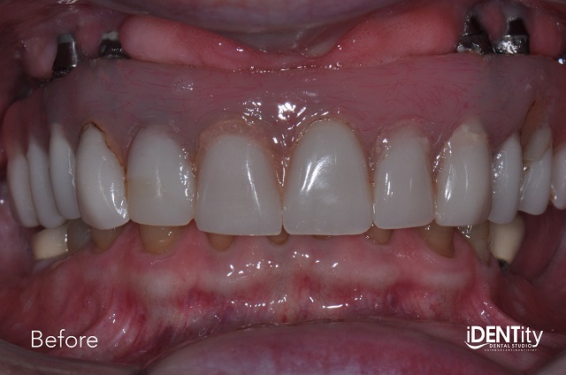
Mrs. Betty came to my office with a failing maxillary implant-supported, fixed complete denture. This restoration had been fabricated approximately eight to 10 years prior, and little attention was given to the interocclusal relationship between the maxilla and mandible. At our consultation appointment, I had to tell Mrs. Betty that I couldn’t fix the maxilla without doing something to the mandible to give a better functional outcome (which would also be more esthetic).
Although reluctant, since “the top teeth were her only problem,” I was able to educate her and excite her about the prospects of reducing the incidence of fracture and future maintenance moving forward.



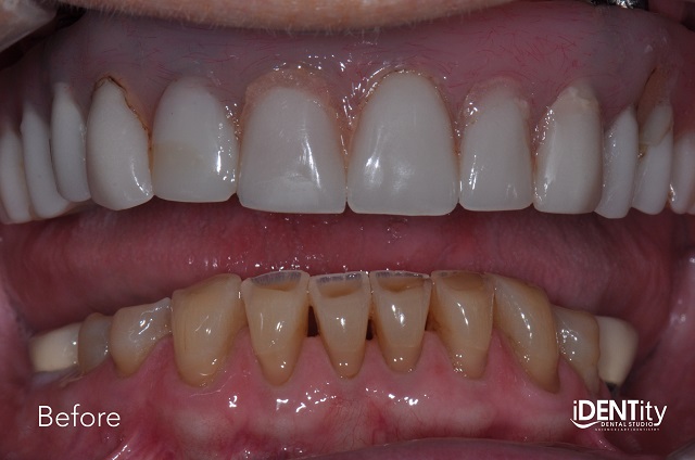
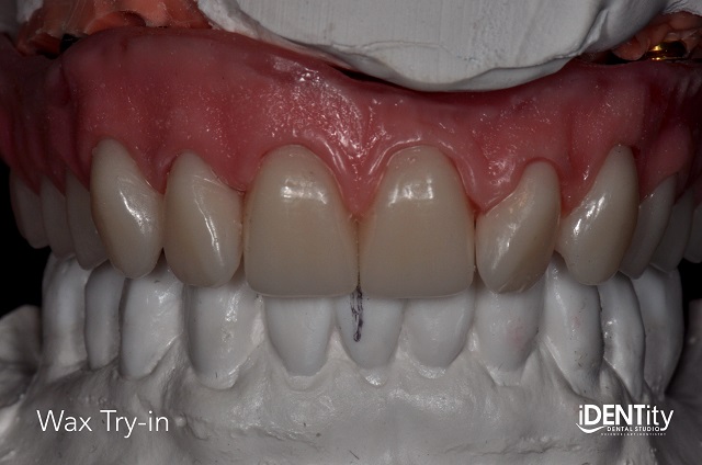
Following Spear’s EFSB treatment planning philosophies, a plan was developed that proposed lengthening the incisal edges of the maxillary incisors when replacing the maxillary implant-supported fixed complete denture. The arrangement of the maxillary teeth (completed by Bart Hyde, C.D.T., Hyde Dental Prosthetics) utilized a Class II division 2 arrangement to help mask her skeletal discrepancy while also properly supporting her lip.
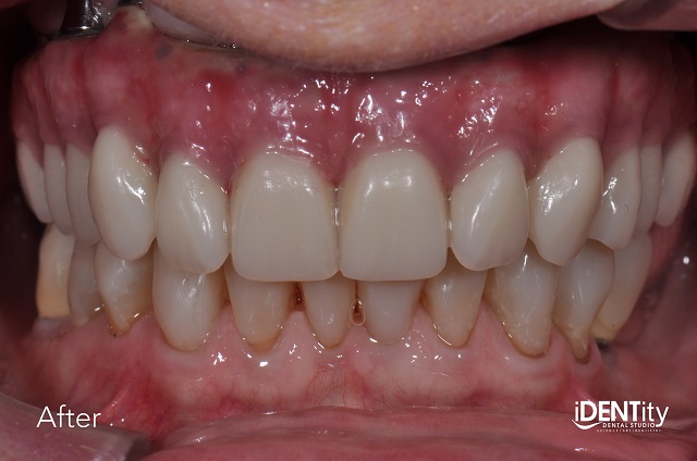
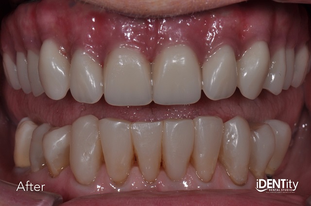
Additionally, we lengthened the mandibular teeth with direct composite bonding, prosthetically proclining the mandibular incisors to further mask the class II jaw relationship and achieve better intercuspation. The mandibular posterior teeth were also bonded.
Two of the mandibular posterior teeth were porcelain, so special care was required while bonding composite to the surface of the porcelain. I reviewed the options of replacing those restorations versus attempting the bonding, and Mrs. Betty elected to attempt bonding.

Restorative Treatment Plan for Functional Esthetics
The proposed plan was accepted and executed. The restorative sequence was as follows:
1. Deconstruct maxilla, master impression and verification
2. Determine new incisal edge and occlusal plane position with wax rim and a mockup try-in of mandibular planned occlusal plane

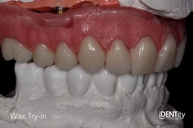
3. Complete wax-up of proposed maxillary restoration; clinical verification


4. Design and fabricate internal framework; complete final try-in
5. Deliver maxillary prosthesis
6. Over two to three two-hour sessions, complete direct bonding procedures on the mandibular arch. Teeth that aren’t finalized will be provisionalized between appointments.
7. Finalize prosthesis and restorations, final torque, seal, and polish



At our six-month follow up, Mrs. Betty had a d-bond of the functional cusp of a mandibular premolar.

This was easily replaced, and the occlusal function was re-evaluated on this tooth. She has not experienced any issue with the composite resin that was bonded onto the porcelain crowns.
In addition to better function and esthetics, Mrs. Betty has an easier time keeping these restorations clean. The six-month follow-up photo was taken as soon as she arrived. No prep work was completed before that photo was taken – that’s how well she’s keeping the definitive restorations clean. She’s pleased and has often thanked me for encouraging her to focus on the whole picture rather than just the “problem.”
I employ direct composite resin regularly in my specialty practice and I have great results with it. I encourage everyone to think more globally, address all problems and make wise choices with restorative materials to give better patient outcomes.
References
Definitive maxillary implant-supported fixed complete denture completed by Bart Hyde, C.D.T., Hyde Dental Prosthetics
SPEAR campus
Hands-On Learning in Spear Workshops
With enhanced safety and sterilization measures in place, the Spear Campus is now reopened for hands-on clinical CE workshops. As you consider a trip to Scottsdale, please visit our campus page for more details, including information on instructors, CE curricula and dates that will work for your schedule.

By: Brandon Stapleton
Date: December 9, 2017
Featured Digest articles
Insights and advice from Spear Faculty and industry experts


