Five Functional Tips for Any Restorative Dentist
Yoga, stand-up paddleboarding, nutrition, your investments, the tires on your car. All of those things, just to name a few, require balance for success.
We’ve all been to that restaurant and sat in the chair with one leg shorter than the others. The chair drives you crazy, rocking back and forth, until you wedge a napkin under the leg to get it stable.
Dentistry is no different; balance is crucial for long-term success. When we begin to look at balance, we need to look beyond a single tooth. We need to appreciate that teeth are a part of a system that includes joints, muscles and teeth. This is the F, or Function, in AEFSB, a principle introduced in the Treatment Planning With Confidence workshop at Spear.

Listed below are five real-world scenarios to be aware of which could indicate that a patient’s system may be out of balance. Each section is worthy of its own Spear Digest article, but here’s an overview, just to scratch the surface.
Indicators of imbalance


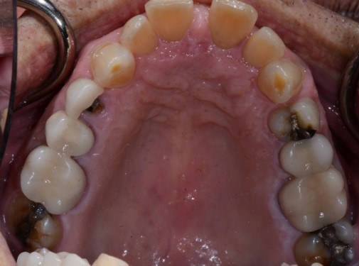
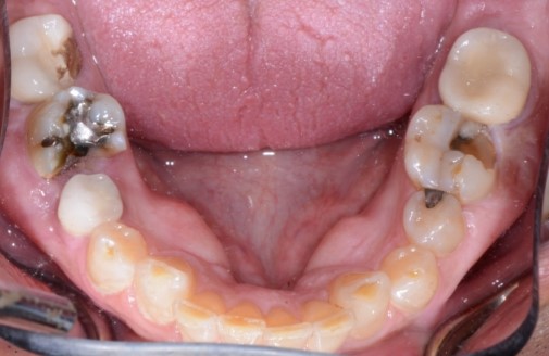
Multiple crowns
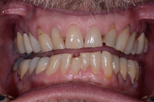
How many patients have you seen who continually break teeth? Some patients break multiple teeth within a short time frame, often, caused by cuspal interferences when the mandible is moving side to side or forward. Assess how many crowns a patient already has and ask them why the crowns were placed. Gather information from their past crown history to gain a respect for the system you’re about to put the next crown into. Every time we do a crown on a single fractured tooth, we’re placing our new crown right back into the system that broke it in the first place. Set a number in your mind of how many teeth a patient needs to break before we’re comfortable discussing balance.


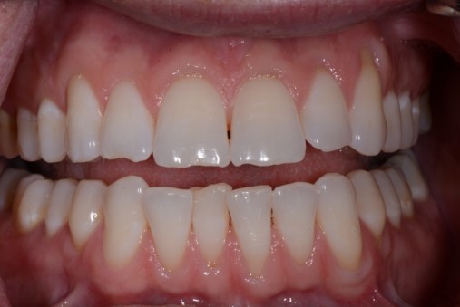
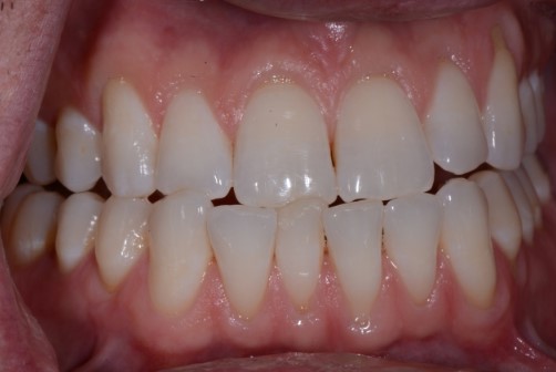
Incisal chipping
Have you ever had a patient ask you to “just smooth” a chip in one of their front teeth? If the patient doesn’t know how that chip got there (fork, chewing fingernails, fishing line), our suspicions should lead toward an imbalance of the system. Check their mandibular movements in all directions. Assess how level their incisal planes match up. Look for the sharp spot in the opposing arch that notched the tooth, as they often match up like a puzzle piece.
Pain
We all know that there can be various sources of pain in dentistry. Imbalance of the system can be one such source. The great variations of pain are beyond the scope of this article, but for simplicity’s sake, we again look at the system of joints, muscles, and teeth to evaluate balance.
For a single tooth under excessive stress, this can present as anything from mild cold sensitivity to a full-blown toothache that needs a root canal. Have you ever had a patient with a crown that “never felt right?” who gets a root canal and still doesn’t feel better? It could be a crack or it could be a balance issue. Pain due to imbalance can extend beyond a single tooth and manifest in the TM joint or muscles surrounding the teeth and face. Does the patient have headaches? A sore jaw in the morning? Any pain directly around the ear? A patient who presents with pain needs to be evaluated from the systematic approach of joints, muscles, and teeth.
Mobility
Often, patients recognize when they have a mobile tooth; the real challenge is catching mobility before it becomes noticeable to the patient. Here are some tips for doing so:
- Evaluate the stress on loose teeth.
- Check for fremitus.
- Have the patient place their finger on a premolar or incisor that has recession or wear, and see if the tooth moves.
- Check mobile teeth to see if those teeth are singlehandedly carrying the load in excursions.
- Evaluate periodontal status and bone support in the mobile tooth area and compare it to what you see throughout the mouth. A localized area of mobility with otherwise normal periodontal health can be an indicator of imbalance.

Tooth wear
Like pain, tooth wear can be multifactorial, but after a thorough history and clinical exam, we should be able to sort out tooth wear caused by extrinsic forces (acid erosion) vs. tooth wear caused by tooth-to-tooth contact (attrition).
Cases of attrition are often present in the unbalanced environment where a patient is naturally balancing themselves. The question here: What is the long-term consequence? Clinically, this can show anywhere from one canine with a flat incisal edge to an entire arch of teeth with completely flattened cusp tips. The worn area of one tooth or arch will have an equal and opposite pattern of wear in the other tooth or arch.
The idea is to look beyond a single tooth and appreciate the system of joints, muscles, and teeth. What impact, if any, does the imbalance have on the patient for the short term and the long term? How long will your dentistry last in the current environment?
The great thing about gaining a respect for balance is every dentist can implement what is learned on every patient. Begin to gather information as to what kind of system that single tooth is in. How balanced is the environment? How destructive is the environment?
As dentists, we all treat imbalance differently depending on our knowledge, skill, and comfort level. Treatment could include observation, tooth adjustment, diagnostic casts, splint therapy, equilibration, etc. However, every dentist can provide better treatment by simply having a respect for how a balanced system can benefit a patient. Dentistry is much more predictable and fun when we can place good dentistry in a good and balanced environment.
SPEAR campus
Hands-On Learning in Spear Workshops
With enhanced safety and sterilization measures in place, the Spear Campus is now reopened for hands-on clinical CE workshops. As you consider a trip to Scottsdale, please visit our campus page for more details, including information on instructors, CE curricula and dates that will work for your schedule.

By: Brent Bush
Date: April 14, 2017
Featured Digest articles
Insights and advice from Spear Faculty and industry experts


