How to Close a Diastema
When a patient comes in with a diastema and they are unwilling to consider orthodontics, it can be difficult to achieve great results restoratively. Although it may sound routine to prepare the teeth for porcelain restorations, many times the product that comes back from the lab does not meet the esthetic standards.

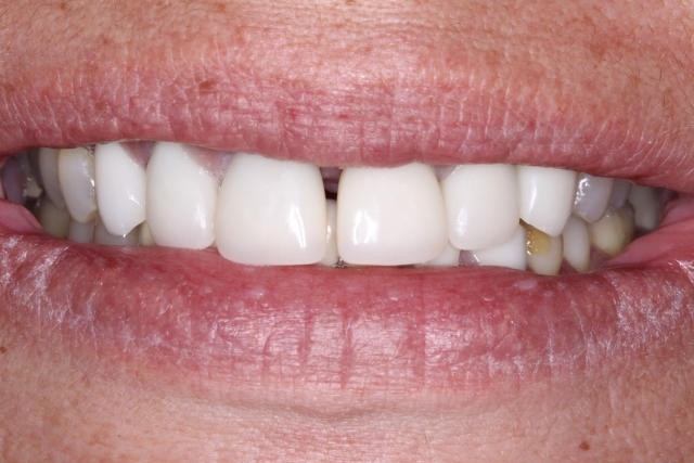
This article explores some key steps to achieving successful outcomes in these cases. These cases all start with pre-planning and visualizing the final outcome of the case. The patient discussed in this article has existing crowns from #6-11 with a 1 mm diastema between #8 and #9.

A diastema closure case
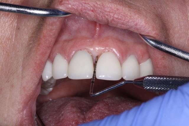
The two keys to successful diastema closure is having a good emergence profile of the final restoration in the gingival third as well as keeping the teeth dimensions within proximity of the golden ratio. Before one begins prepping the teeth or transferring a mockup into the patient’s mouth, one must probe the sulcus in the area of the diastema.
For the lab to achieve great emergence profiles, one needs to prep the interproximal area by the diastema subgingival. If the margin is placed at the level of the gingiva, the ceramist will be forced to make a large shelf of ceramic protruding out from the tooth to close the space. This will result in a blunted papilla, food traps and poor contours. The depth of this margin will be determined by the depth of the sulcus and the final desired emergence profile.


In this case, the sulcus depth was 3 mm on #8 and #9 at the 1-mm-wide diastema. Therefore, I went 1.5 mm subgingival in my final preparation in the area of the diastema. Since existing crowns were being replaced, the prep margins went around the tooth.
In regards to doing veneers in these cases, the prep margin must be taken through to the palatal line angle. Going an adequate depth subgingival and extending the prep margin will allow the ceramist to achieve an excellent emergence profile, closing the diastema with a natural contour to the restoration. Think root-up contours like a natural tooth would be. A facial-only prep results in food traps, blunted papilla appearance and poor contours.

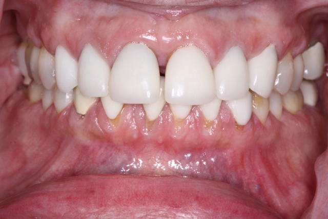
In conclusion, the patient was happy with the final results and encouraged to begin treatment on the lower six.
Puneet Sandhu, D.D.S.
SPEAR campus
Hands-On Learning in Spear Workshops
With enhanced safety and sterilization measures in place, the Spear Campus is now reopened for hands-on clinical CE workshops. As you consider a trip to Scottsdale, please visit our campus page for more details, including information on instructors, CE curricula and dates that will work for your schedule.

By: Puneet Sandhu
Date: November 5, 2016
Featured Digest articles
Insights and advice from Spear Faculty and industry experts


