Four Products to Immediately Improve Your Composite Restorations
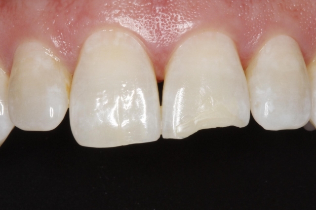
Composite can be one of the most difficult materials we work with in dentistry depending on where we are in the mouth, how cooperative our patient is and how easily we can isolate the area. After trials and tribulations with a number of different products and techniques, here are four of my must-have products to help you with composite excellence!
Brush and Sculpt
I use Brush and Sculpt, a product by Cosmedent, to smooth my final layer of composite when I’m blending along a bevel, either in the anterior or with a Class V restoration. While I used to use some adhesive on my instrument to prevent composite pull-back, most adhesives contain HEMA, which will discolor your restorations.


What is Brush and Sculpt? It’s a light-cured, low-viscosity modeling resin. It’s approximately 36 percent filled. It’s fantastic for making your resins easy to manipulate at the final smoothing step during placement. I have my assistant put a small drop on the back side of her glove and rub my brush or dip my instrument in the small amount as needed. More is not better; just a touch is plenty.
Click here for Brush and Sculpt.
Enamelize Composite Polishing Paste
Once you’ve finished and polished your restorations, and you’re happy with everything except the luster or final polish, this product is amazing at giving your restoration its final beauty. It’s my final step to composite placement for giving that glossy, smooth surface we all desire. You can use it with a rubber prophy cup or, my preference, a felt wheel (also available at Cosmedent).



What is Enamelize? It’s an aluminum oxide polishing paste that can give a final polish to composites, porcelain, metal and natural tooth. It consists of water, glycerin, vegetable oil, emulsifier and aluminum oxide.
Click here for Enamelize Composite Polishing Paste.
Dental Composite Brushes
I didn’t know these existed until a few years ago, but since I started using them, I’m not sure how I ever placed composite without them. They’re great for applying tints and opaques, and for smoothing out the final layer of composite before curing. I also use brushes with Brush and Sculpt for that final layer.

What brushes should you get? Cosmedent has brushes in three sizes, or when you purchase the Tokuyama Estelite kit of composites, you’ll get brushes with that kit. I like to use the #1 fine brush for fine detailing, like adding tint for translucency at the incisal edge or adding hypocalcification details. I like using the #3 brush for the final layer of composite with Brush and Sculpt.
Click here for Dental Composite Brushes.
DiaComp Feather Lite Intra-Oral Composite Polisher
These new composite polishers are great in the posterior for maintaining your composite anatomy and giving a really beautiful luster.
What are they? These are diamond impregnated medium (green) and fine (gray) composite polishers. They are sterilizable and reusable, and you use them with light pressure at 5-6,000 rpms with water. They’re the best posterior polishers I’ve used to date, and the newest member of my composite “must haves.” Don’t set the rpm too high or apply too much pressure, or the arms will fly off and you won’t get many uses out of them.


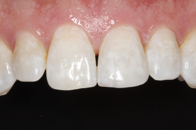
I hope these pearls can help improve your composite placement and the fun you’re having in the process!
SPEAR campus
Hands-On Learning in Spear Workshops
With enhanced safety and sterilization measures in place, the Spear Campus is now reopened for hands-on clinical CE workshops. As you consider a trip to Scottsdale, please visit our campus page for more details, including information on instructors, CE curricula and dates that will work for your schedule.

By: Courtney Lavigne
Date: November 2, 2016
Featured Digest articles
Insights and advice from Spear Faculty and industry experts


