Best Practices for Presenting the Immediate Fixed Hybrid Case
(Dr. William Runyon co-authored this article.)
The art of treatment planning and case presentation can arguably be one of the most challenging aspects of dental practice. It’s also one of the most fun and rewarding if we do it with a commitment to educate the patient.
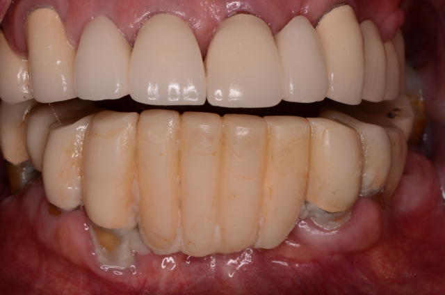
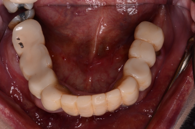
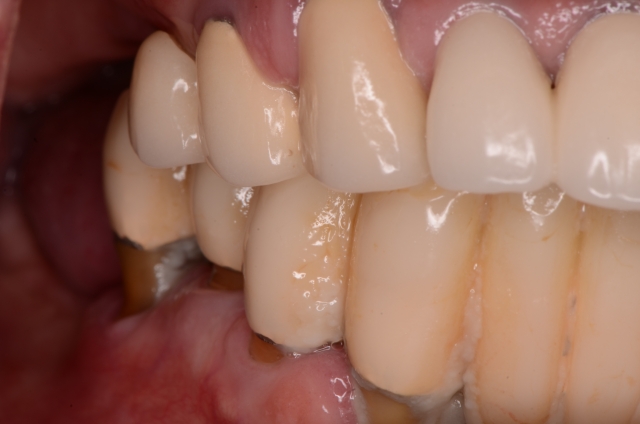
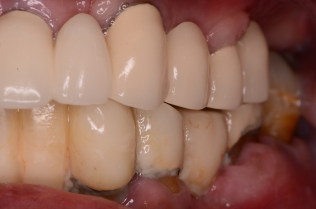
Patients who face a diagnosis of terminal dentition and subsequent edentulism offer a unique set of challenges. They must first accept the diagnosis involving impending tooth loss and process their options for restoration. These patients are naturally drawn to a fixed restorative solution. An immediate fixed hybrid restoration provides the benefit of that fixed restoration with the promise of an efficient transition from sick teeth to resolution in one step.1
Patient education
Treatment-planning an immediate fixed hybrid should involve all aspects of patient education techniques you have at your disposal. The process goes best when we illustrate the patient’s condition through photography, present a simple financial arrangement, and effectively communicate the benefits of the restoration.
Many of our immediate fixed hybrid patients begin as emergency patients seeking relief from pain. Some begin as new patients unaware of their dental condition. Many patients are unaware of their true dental condition. Photography is the primary way to communicate this reality in an efficient and effective manner. Once we’ve taken the photos and examined radiographs, we can better assess their overall condition. Having the photos for the patient to see is the game-changer. Like the old adage states: “A picture is worth a thousand words.” Once the photos are there, you now have an effective platform upon which you can discuss findings that may warrant a more comprehensive examination.
Once the patient is ready for a comprehensive examination and a review of findings, the process of co-discovery is under way. This is often where you get the feel for the patient’s perception of their dental condition. Are they aware of the level of disease or not? Many patients who may become immediate fixed hybrid cases aren’t even remotely aware of the level of decay or disease they possess. Their chief concern may not be your chief concern after you’ve assessed the data, but it’s still helpful to address and understand what brought them into your office.
The process or concept of co-discovery is real and very powerful. Use it to help the patient connect to their actual oral condition. A patient’s complete acceptance of their condition may come along more slowly.
Photography is the linchpin of the entire co-discovery process. We take six pictures in every new case. Spear teaches that these are the six images that will improve case acceptance. Here’s an example:






If you are not yet taking 35 mm photography of your patients, this is a great time to start. Photographs will not only prove invaluable to you as a clinician but will also affect your patient’s perception of their own oral condition very quickly. The effect can be miraculous. Many times a patient will say to me, “Are those my teeth?”

Rampant root caries, extreme worn dentition and the corrosive effects of GERD are all effectively demonstrated with these photos. These photos get the ball rolling on patients requiring more comprehensive treatments due to a terminal dentition.
Discussing the costs of treatment
The next challenge for this group of patients is the looming aspect of cost. Until we answer this key potential sticking point, the patient is often not really hearing your presentation. When the patient understands their true oral condition and is ready for the next phase of discovery, which is the fee required, you want to be ready with a clear concise answer. The “single fee” is that answer. The concept is designed to simplify yet address the worrisome prospect of total cost for the patient.
The single fee for the immediate fixed hybrid was discussed in a recent article on how to develop a successful fixed hybrid treatment model. In short, it is a compilation of restorative, surgical, and laboratory fees. The sum of these three fee sources constitutes the single fee. Because the single fee was derived and agreed upon by both restorative and surgical groups, either can quote the fee without reservation. The concept is simple yet effective.
After acceptance of the treatment plan, when the patient inquires about the cost, the fee is quoted. The patient can quickly assess their tolerance for the fee required for an immediate fixed hybrid. We don’t have to “sell” the case at all if we foster an environment of co-discovery and financial transparency.
Using models

Additionally, models are very effective tools for perspective patients. Having a patient hold these models in their hands helps illustrate key differences in features they need to understand. One is a fixed hybrid and the other is a locator denture. Their understanding that the fixed hybrid device doesn’t come out of the mouth like a traditional denture is powerful. When I hand patients one of these models, they’re instantly more engaged. We as clinicians often assume the patient understands our descriptions of therapy, but these acrylic models are amazingly simple tools that communicate this restoration design and function and remove any potential ambiguity.
The emotional connection
And finally, the most powerful motivational tool at our disposal is not one we generally enlist when presenting dental treatment. It’s emotion. Spear Resident Faculty member Dr. Gary DeWood says it best: “Feelings make patients move.”
It has been said that we make our decisions to buy from emotion, so simply stating the steps required for the delivery of any dental treatment is not usually enough to gain treatment acceptance. We must clearly state or demonstrate the benefits of treatment. When a patient connects the benefits of treatment with the emotional aspects of the outcome, you’re there.
One does not reason their way into an immediate fixed hybrid. They desire the benefits of the immediate fixed hybrid platform: better function, esthetics, and comprehensive treatment completed in a timely manner. The most vital benefits are social reconnection and a renewed confidence. The decision to move forward is an emotional decision that comes from the core.
Help your patient realize these benefits and you’re well on your way to case acceptance for a very versatile implant platform.
References
- Fifth ITI Consensus, Conference Consensus Statements and Clinical Recommendations for Immediate Implant Loading Protocols; German O. Galucci/Goran I. Benic/Steven E. Eckert/Panos Papaspyridakos/Martin Schimmel/Alexander Schrott/Hans-Peter Weber, 2014 Quintessence Publishing.
FOUNDATIONS MEMBERSHIP
New Dentist?
This Program Is Just for You!
Spear’s Foundations membership is specifically for dentists in their first 0–5 years of practice. For less than you charge for one crown, get a full year of training that applies to your daily work, including guidance from trusted faculty and support from a community of peers — all for only $599 a year.

By: William Ralstin
Date: August 17, 2016
Featured Digest articles
Insights and advice from Spear Faculty and industry experts


