The Abutment Option Most Dentists Overlook
Multiple options are available when choosing an implant abutment in the esthetic zone. Primarily we chose an abutment that helps enhance the soft tissue esthetics. This means we choose an abutment that is “tooth colored” as opposed to “metal.” Options typically include zirconia or a two-piece “hybrid” abutment.

An abutment option that is often overlooked is a Custom UCLA-metal ceramic abutment. In my practice, I tend to use this abutment option more often than any other material. The UCLA abutment was introduced in 1987. It consists of a “gold cylinder” (that engages with the implant) and a plastic sleeve (that can be waxed and cast out of a high noble alloy and subsequently baked with ceramic). (Fig. 1)
The benefits of using this abutment are many:
- Strength
- Stronger than custom zirconia abutments (superior strength by means of an internal connection via a secondary metallic component) (Sailor, IJOMI 2009)
- Esthetics
- Color/opacity of ceramic addition can be customized for patient
- Versatility
- Can be used with any implant system regardless of implant size; typically, the smaller the implant size, the less likely a zirconia option is available due to strength concerns
Of course, as with any abutment there are some down sides as well:
- Cost
- The UCLA abutment is an expensive piece that then requires a significant amount of work by the technician to wax, cast and bake.
- Technically demanding
- When adding and firing the ceramic for the subgingival emergence to support the tissue shaped with the implant provisional, the ceramic shrinks. This requires multiple additions and firings to help ideally support the soft tissue.
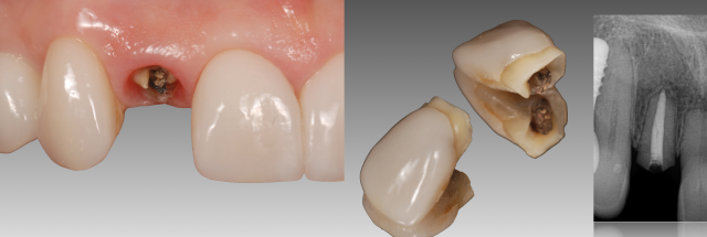
The patient seen in Fig. 2 presented with a fractured lateral incisor. I had previously placed veneers on the anteriors eight years earlier.

The treatment plan was to extract the lateral incisor and place a single tooth implant. (Fig. 2) At the time of implant placement, the facial was treated with contour augmentation to help preserve the facial hard/soft tissue esthetics. (Buser et al. J Dent Res, 2013, Jensen et al. J Perio 2014)

Three months after implant placement and confirmation of implant integration, an implant provisional was used to shape the soft tissue profile. (Fig. 4) Utilizing a custom impression coping, the exact soft tissue contours were transferred to the technician. (Fig. 5)



The definitive abutment chosen was a UCLA-metal ceramic abutment. The abutment was designed with ceramic added over the entirety of the surface (not just sub-gingival) so that an all-ceramic restoration (e.max) could be used for the crown. The benefit of the entire surface being baked with ceramic is that if desired, the abutment could be etched and silanated to allow the restoration to be bonded with resin cement. (Fig. 7)

Variations in the abutment design do exist. The decision to build the entire abutment with ceramic depends on the amount of space present. If required due to space limitations, the occlusal part of the abutment can either be opaqued only or left either as metal. (Fig. 8)

Gregg Kinzer, D.D.S., M.S., Spear Faculty and Contributing Author
VIRTUAL SEMINARS
The Campus CE Experience
– Online, Anywhere
Spear Virtual Seminars give you versatility to refine your clinical skills following the same lessons that you would at the Spear Campus in Scottsdale — but from anywhere, as a safe online alternative to large-attendance campus events. Ask an advisor how your practice can take advantage of this new CE option.

By: Greggory Kinzer
Date: May 24, 2016
Featured Digest articles
Insights and advice from Spear Faculty and industry experts


