Best Practices for Denture Teeth Selection
If removable prosthetics are part of your practice, do you make prostheses or plates?
If you’re like the majority of dentists, you simply allow the laboratory technician to choose the moulds and brand based on their preference and corresponding “as close as possible” to a shade that you give them. The denture tooth quality and type is, therefore, dependent on the experience that the technician has with favored brands, which often are the same as the manufacturer of their favorite acrylics. Since removable technicians seldom have the photographic information and detailed treatment planning information that Spear dentists provide for complex esthetic cases, they are left to choose anterior teeth based on the shape of the palate and some landmark on the model or lines that we draw on the wax rim, if that step has not been omitted.
While there are many techniques for determining tooth size from arch form to even measuring the index fingers of the patient1, the fact of the matter is that the laboratory technician simply does not have the patient in front of him and cannot possibly grasp the physical and anatomical needs of the patient. The difference between a plate and a prosthesis is the diagnosis!
Selection
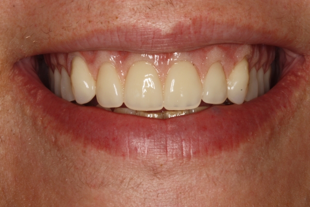
There are many brands of denture teeth on the market, and most of us who routinely set our own denture teeth tend to favor one brand or another; however, we recognize that there are times when using an atypical denture tooth is beneficial to the patient. Each brand of denture tooth has its pros and cons. For example, there is one particular brand that I have used that actually makes what I believe is the prettiest tooth on the market with the best optical characteristics that I have found, but it comes in only a few anterior moulds, most of which do not fit my population of patients. My favorite brand has nice esthetics and is very durable, but it comes is a wide variety of moulds: short, fat, long, ovoid, square ovoid, square tapering ovoid, etc. In my opinion, the teeth should be chosen to fit the patient’s desired esthetics and facial form in preference over the palatal form – after all, I have yet to find a person who shows off their palate when they smile, but they do show off their teeth, whether they want to or not!

When prescribing denture teeth, we first need to determine the distance on a curve between the distal surfaces of the canines. Dr. Doug Benting discusses how to do this in a wonderful digital course on setting teeth for edentulous patients. Incisal edge position is determined using the facially generated treatment planning sequence and principals. Once we clearly establish these parameters and have an adequate and retentive wax rim, we can begin to set the maxillary teeth.
(Click this link to learn more about facially generated treatment planning.)
Waxing
While many dentists find setting anterior denture teeth to be ominous, waxing can be relaxing! There are a few pearls to simplify the process.
1. Start with setting the maxillary two centrals intraorally to establish horizontal and vertical inclination.
2. Then draw a line on the land area of the master cast with the repositioned record base as a reference in case the teeth move while waxing the others in the laboratory.
3. Make sure that the middle-third of the maxillary centrals is most prominent.
4.Set the lateral incisors so that the incisal, facial, and lingual embrasures are symmetrical and make the incisal edge more facial than the rest of the tooth but in line with the incisal edge mesial-distally of the centrals; for a youthful look, set approximately .5 mm apical to the central incisal edge.
5. Set the canine tooth again using the ebrasure form as a guide and then make the gingival-third the most prominent section of the tooth. Be sure to “turn the corner” angling the distal cusp arm directly down the crest of the posterior ridge.
If you are making a mandibular denture, set the mandibular anterior teeth in the same sequence only make the central incisal-third more prominent than the middle-third of the lateral incisor. Then make sure the gingival-third of the canine is the most prominent aspect of that tooth. I like to remember the phrase “MIG over IMG” when I set anterior denture teeth to remember which third of each tooth should be most prominent.

When setting the mandibular teeth, remember to move the articulator through excursive movements that have been set from your bite records.
Kevin D. Huff, DDS, Spear Moderator and Contributing Author
References
1. Ahila SC, Vaishnavi P, Muthu KB. Comparative evaluation of maxillary and mandibular anterior teeth width with the length of index and little finger. Journal of Indian Prosthdontic Society 2014;14(3):215–218.
VIRTUAL SEMINARS
The Campus CE Experience
– Online, Anywhere
Spear Virtual Seminars give you versatility to refine your clinical skills following the same lessons that you would at the Spear Campus in Scottsdale — but from anywhere, as a safe online alternative to large-attendance campus events. Ask an advisor how your practice can take advantage of this new CE option.

By: Kevin Huff
Date: May 4, 2016
Featured Digest articles
Insights and advice from Spear Faculty and industry experts


