Class II Correction: 3 Evaluations for Optimal Referral Timing
The optimal time to refer a patient for orthodontic treatment is as variable as the patients who present with a malocclusion. Yet this decision is critical to the diagnosis and treatment planning for patients who can benefit from orthodontic/orthopedic treatment.
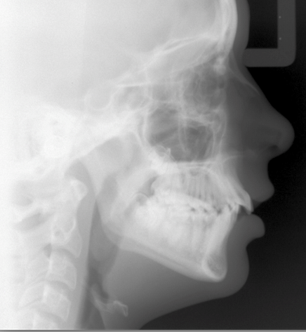
Class II malocclusion patterns will usually be a combination of skeletal and dental components. Mandibular deficiency and maxillary protrusion are common elements of Class II growth patterns. (Figure 1) Decisions on referral and treatment timing can be refined with the three considerations that will be discussed here. The result can be an increased confidence in contributing to a successful and stable outcome.
(Click this link to learn more about occlusal concepts and philosophies.)

Tooth Eruption: Why It Can Be Misleading
The average time for completed eruption of the permanent dentition is between 12 and 13 years with the range expanding nine to 16 years. The often-heard plan to refer “when all permanent teeth have erupted” has been used as the timing measure for starting orthodontic correction. This hallmark can be excellent timing for many patients and problematic for others. Some patients have very early dental development. I have seen 9-year-olds with a full complement of permanent teeth including second molars. In contrast, a 16-year-old can be still awaiting the upper canines’ descent. The former patient is too early to treat. As for the latter patient, we may be compromised in our ability to make a complete correction for some malocclusion types.
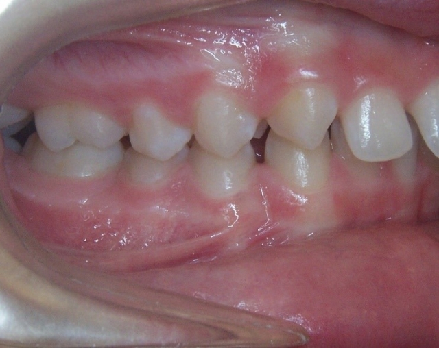
Monitoring the erupting dentition can help the patient receive the correct timing for intervention. A panoramic image as a screening procedure can confirm if there is adequate space for full permanent tooth eruption, if the eruption sequence is normal and if there are any impediments to eruption present. In Class II growth patterns in particular, noting the time for eruption of the upper second molar can make a difference in the ease of establishing the Class I molar relationship. Using methods to increase the arch length by distalizing the upper first molar can provide the dual benefit for adequate eruption space and the molar correction. (Fig. 2 and 3)


Arch Width: Why It Matters in Class II Growth Patterns
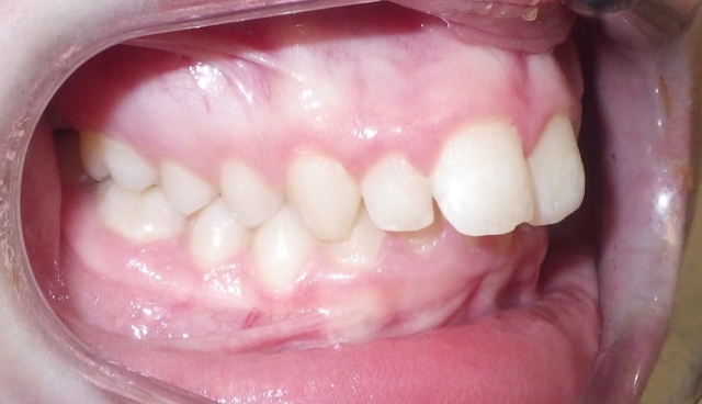
The arch width for a Class II pattern is important to note since it will play a role with both proper alignment and with proper buccal coordination of the molars. During advancement of the lower arch with growth modification, the width discrepancy between upper and lower molars will increase. The wider lower posterior molar width will advance and often result in an end-to-end buccal cusp relationship. With more severe maxillary constriction, a crossbite can result.
There are several ways to expand the molar width with arch wires and auxiliary wires. Full arch expansion can be accomplished with rapid palate expansion. Expansion can have the added benefit of decreasing the narrow buccal corridors (Fig. 9)
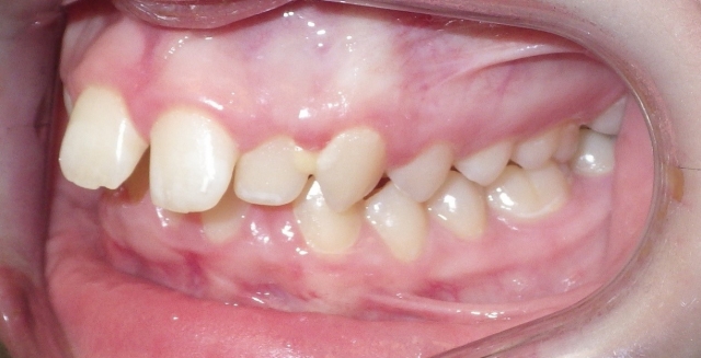
The arch form is also an important factor to evaluate in a Class II pattern. If the upper arch form is narrow, the upper incisors are more protrusive with an increased overjet. (Fig. 5 and 6) The maxilla appears “V” shaped from the occlusal view. (Fig. 7 and 8) The lower arch form is often broader because it is set more posterior in a wider area of the upper arch. If the full upper arch form is not expanded, there will be an excess overjet that remains. Imagine trying to align a round circle into the peak of a triangle. If the full arch is expanded with an expander, the upper and lower arches can coordinate to a normal overjet. (Fig. 4)

Age Matters: The Advantage of Growth Potential
Predicting when teenagers will grow at their fastest rate is a mystery that, if solved, could be harvested and put to a dozen positive benefits. I would choose timing the correction of Class II growth patterns as one of them.
Growth charts with the average time for peak growth can be a start to guide us.1 Family and parental growth patterns and recent growth of the patient can get us closer to accurately predicting the circumpubertal growth range. Growth charts show females peak rate of growth is during the years of 11 to 13. For males, the peak growth range is age 14 to 16. Cephalometric images using the cervical vertebral maturation (CVM) have also been reported to aid in determining the time of the mandibular growth spurt.2 CVMS 2 and CVMS 3 are correlated with the mandibular growth spurt. Given these guidelines, if a female patient needs mandibular advancement with growth modification, a successful outcome is more predictable during the peak rate of mandibular growth.
If you only consider tooth eruption as your guide for starting Class II correction, you may miss the peak growth time and the advantages it brings. Most Class II corrections will be achieved by contributions from both growth modification with mandibular advancement and dental correction. The value of having both to achieve the final overbite and overjet is a bonus for the patient and provider alike.





It is time to dispel the idea of waiting for completed permanent tooth eruption before referring for the start of orthodontic treatment. Using the three guidelines in your patient evaluation can better guide your referral timing for optimal treatment outcomes in patients with Class II malocclusions.
Donna J. Stenberg D.D.S., M.S., P.A., Spear Visiting Faculty and Contributing Author djstenbergdds@gmail.com
References
1. Kelly, A, Winer, KK, Kalkwarf, H, et al. Age-Based Reference Ranges for Annual Height Velocity in US Children. The Journal of Clinical Endocrinology & Metabolism. 2014;99(6):2104–2112.
2. Baccetti, T, Franchi, L, McNamara, JA. An Improved Version of the Cervical Vertebral Maturation (CVM) Method for the Assessment of Mandibular Growth. The Angle Orthodontist. 2002;72(4):316–323.
SPEAR campus
Hands-On Learning in Spear Workshops
With enhanced safety and sterilization measures in place, the Spear Campus is now reopened for hands-on clinical CE workshops. As you consider a trip to Scottsdale, please visit our campus page for more details, including information on instructors, CE curricula and dates that will work for your schedule.

By: Donna Stenberg
Date: March 29, 2016
Featured Digest articles
Insights and advice from Spear Faculty and industry experts


