Why Implant Restoration Screws Become Loose
It used to be not uncommon to have implant screws come loose, but the times have changed.
The reason implant abutment screws used to come loose could be attributed to a few different factors:
- External hex (Branemark style) implants. The external hex on these implants provided little resistance and/or retention, so a lot of load was placed on the screw itself. Today’s implants are mainly designed with an internal connection utilizing a platform-switch concept. With this design, the screws get very little load because most of the forces are distributed in the internal connection.
- The lack of proper torque of the abutment screws. This was in part due to the design of the screw itself (material and head design) and the lack of proper torque delivery systems for tightening the screws adequately. Today we have much better screw designs as well as torque drivers, so this is typically not a reason for today’s abutment screws coming loose.
- Improper occlusal/force management. Although this has always been a concern and is still heavily debated, it was more of a concern with the old external hex-style implants. Again, I find that with the internal connection design, the components fit together so well that an occlusal issue would most likely present as fractured ceramic.
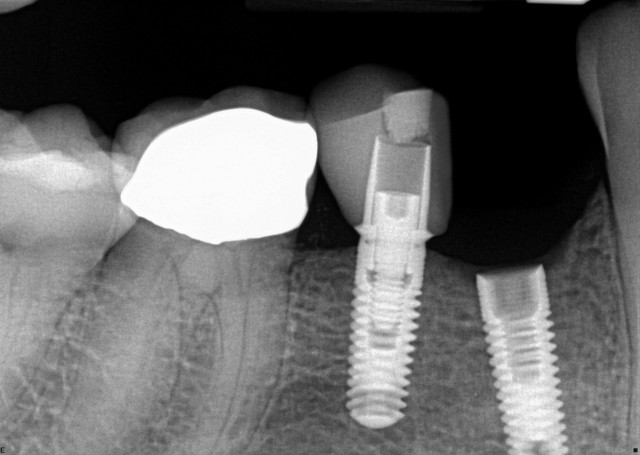
So, why might you still occasionally see implant abutment screws coming loose in provisional or definitive restorations? Often, the cause is the interface of the bony profile around the implant and the flare of the abutment/restoration. The patient in Figure 1 was sent to my office because the screw-retained implant restoration had come loose a few weeks after placement and the restoration couldn’t be replaced. (The restoration couldn’t be replaced because the angulation of the implant caused a problem with the path of insertion, given the adjacent implant restoration was already in place).

Why did the restoration come loose in the first place?
The most common cause for screws loosening today is when the bony profile around the implant prevents the restoration from being completely seated. With bone-level internal connection designed implants, the typical bony profile is “funnel” shaped, as opposed to the traditional flat-top external hex-style implants where the bone remodeled down to the level of the first thread. With the “funnel” shaped bony profile, the flare of the implant abutment/restoration can bind with the bone, thus preventing the restoration from fully seating. Under pressure from the restoration, the bone will undergo pressure necrosis and, when it does, the abutment screw will become loose.
How does this occur?
As can be seen in Figure 2, there is a difference in the flare of the different implant components (from left to right, Ti-base, temporary abutment and impression coping). (Click here for more on dental implants parts and pieces.) Both the Ti-base and temporary abutment have a flare that is not present on the impression coping or healing abutment. For this reason, the binding only occurs when the provisional or definitive restoration is seated. The screw may “show” that it is fully torqued down, but in fact the abutment is binding on the bone.

To keep this from occurring, you should look at the bony profile around the implant and, if needed, reduce the flare of the abutment/restoration so it’s narrower upon its immediate emergence out of the fixture. If the flare of the temporary abutment was reduced in the provisional phase, then this information needs to be passed on to the technician when fabricating the definitive abutment/restoration or the same problem may be encountered with the emergence profile. It may in fact be beneficial to send a radiograph to the technician along with the definitive impression so they can observe the emergence/bony profile.
The next time you encounter a loose screw on one of your implant restorations, check the flare of the restoration and the bony profile around the implant.
VIRTUAL SEMINARS
The Campus CE Experience
– Online, Anywhere
Spear Virtual Seminars give you versatility to refine your clinical skills following the same lessons that you would at the Spear Campus in Scottsdale — but from anywhere, as a safe online alternative to large-attendance campus events. Ask an advisor how your practice can take advantage of this new CE option.

By: Greggory Kinzer
Date: November 19, 2015
Featured Digest articles
Insights and advice from Spear Faculty and industry experts



