Gummy Smiles: The Importance of a Correct Diagnosis
This young patient, who was about to start college, expressed concerned about her smile. She didn’t like her teeth and was told she needed veneers. She came to us for a second opinion.
On examination, what jumped out at me was her gummy smile. She had an excessive gingival display that was approximately 5 mm and central incisors that lacked prominence in her smile. We started exploring her gummy smile to get a diagnosis and formulate the right treatment plan.
We know there are seven possible causes of a gummy smile:
- Short upper lip
- Hypermobile lip
- Vertical maxillary excess (VME)
- Anterior overeruption because of excessive overjet
- Wear and compensatory eruption
- Altered active eruption
- Altered passive eruption
We examined her upper lip, which had normal length but was slightly hypermobile. She had 3 mm of incisal edge display at rest, which was appropriate and ruled out VME. Her anterior and posterior occlusal planes were level, which ruled out anterior overeruption, and she had no incisal edge wear.
However she had short clinical crown height, which suggested possible altered eruption. On probing her periodontal pocket under local anesthetic, we could not feel her CEJ. The periodontist evaluated her and determined she had altered active eruption. The crowns of the teeth failed to fully erupt out of the osseous housing, leaving the osseous crest level with the CEJ.
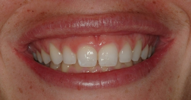
We recommended osseous crown lengthening for Teeth 5–12, as well as tooth whitening and minor composites at incisal corners to correct for narrow incisal shape (Fig. 1).

Ultimately, the patient was happy with the outcome of her smile and did not require veneers (Fig. 2). If we had not made the correct diagnosis, she could have potentially had the wrong treatment and been unhappy with the outcome. Patient satisfaction is always a main goal for dentists.

So, a correct diagnosis can give us more appropriate treatments and better outcome. Every time I see a patient, I wonder if I’m making the correct diagnosis. What also scares me is when I’m the patient, wondering if I’m being correctly diagnosed and treated! This is a good example of how we can change the shape of the tooth from Danny DeVito teeth to George Clooney teeth.
FOUNDATIONS MEMBERSHIP
New Dentist?
This Program Is Just for You!
Spear’s Foundations membership is specifically for dentists in their first 0–5 years of practice. For less than you charge for one crown, get a full year of training that applies to your daily work, including guidance from trusted faculty and support from a community of peers — all for only $599 a year.

By: Arezoo Bahar
Date: June 18, 2015
Featured Digest articles
Insights and advice from Spear Faculty and industry experts



