The Two-piece Custom Implant Abutment

As has been discussed in previous posts, many options exist for implant abutments in the esthetic zone. One of the most recent abutment designs is the “two-piece” abutment. There are many benefits that a custom two-piece abutment can have over a custom “zirconia” abutment. two-piece abutments can:

  • Achieves a high strength due to the metal internal connection with the implant and the metal/titanium insert or base.
  • Enables a small dental laboratory to fabricate custom implant abutments without outsourcing the milling of the zirconia.
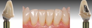
Greggory Kinzer The Two piece Custom Implant Abutment Figure 1
Figure 1

The abutment consists of a metal base that can purchased (ie. Ti base) or purchased and adjusted (titanium abutment). (See Fig. 1) Over the top of the metal base, an all-ceramic piece will be fabricated and bonded to the abutment (hence the name of the abutment being “2-piece”). The all-ceramic segment is typically made out of e.max (either designed digitally or with the use of a wax-up) OR zirconia (designed by CAD/CAM). The all-ceramic segment is then bonded to the metal base using resin cement after treating the components with air abrasion, HFl acid etching (if applicable), bonding agents and resin cement. (See Fig. 2) The bonding of the components is typically done in the laboratory by the dental technician. The research shows that the 2-piece abutments are stronger than one piece zirconia abutments and that as long at the guidelines for the chimney height of the metal is followed, the retention of the components with resin cement is not a factor. In fact, the weak link of the abutment is the screw and the internal connection, not the abutment components.

Greggory Kinzer The Two piece Custom Implant Abutment Figure 2
Figure 2

As was mentioned earlier, one significant benefit of the 2-piece abutment is that they can be fabricated with lithium disilicate (E.max) without the need for outsourcing. (Fig. 3) This can help to both cut the overall cost as well as decrease the time necessary for fabrication. The limiting factor dictating when you cannot use a 2-piece abutment comes down to room or thickness of the components. For example when using a custom abutment to correct the orientation of malpositioned implants, it is not uncommon to run out of room for the metal base, zirconia or e.max abutment, and the crown. If this is the situation, a different abutment design is required.

Greggory Kinzer The Two piece Custom Implant Abutment Figure 3
Figure 3

References

1. Comparison of fracture resistance of pressable metal ceramic custom implant abutments with CAD/CAM commercially fabricated zirconia implant abutments Kim S, et al. J Prosthet Dent 2009 Apr;101(4):226-30

2. Retentive strength of two-piece CAD/CAM zirconia implant abutments

Gregg Kinzer, D.D.S., M.S., Spear Faculty and Contributing Author

SPEAR campus

Hands-On Learning in Spear Workshops

With enhanced safety and sterilization measures in place, the Spear Campus is now reopened for hands-on clinical CE workshops. As you consider a trip to Scottsdale, please visit our campus page for more details, including information on instructors, CE curricula and dates that will work for your schedule.

Spear Education Icon

By: Greggory Kinzer
Date: May 22, 2015


Featured Digest articles

Insights and advice from Spear Faculty and industry experts