Shade Selection in the Anterior
Shade selection in the anterior can be tricky: Too many factors can change the shade or color of the teeth. The operatory lights, window light, and the overhead fluorescent lights can have an effect, and the colors around the teeth, from lipstick to even the patient napkin, can cause subtle changes that affect our judgment of the final shade.

That is where the Vita Easyshade comes in. Now the most common way to get the shade is to just use the Easyshade on single tooth and get the basic shade from the middle third. This will give the basic block shade. It will also give you a shade that is close to the primary shade. For example the Easyshade may give you A3 primary and D3 or B3 secondary. These are shades that are close to what the primary reading is. You have the basic block shade, but what about the characterization?
Here’s how I use the Easyshade to make block selection and stain selection easier: I take the Easyshade set on a single tooth, get the primary block shade and write down it and any secondary shades it may list.
Then I put the Easyshade on tooth areas: I take the shade at the cervical, middle and incisal thirds and pick my block based on the middle third. For example, if the reading came out B3, A2, and EN2, I’m going to use the A2 block.
If this is a multiblock, I can alter the gradient of color to reflect how much of the area is A2. Either way, I know the cervical stain I’m going to use is B3. The incisal is EN2, which means a little bit of blue will go a long way.
The secondary shades that were listed under the primary block when you took just basic shade can be used to help characterize the tooth. If the basic shade was A3 and a secondary was C3, then any areas that have some grayish characterization can be replicated by using the C3 shade/stain sparingly.
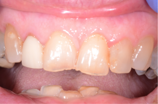
In the included photo, there are at least four different shades we can choose from. I take the shade with the Easyshade on all of them. Generally there will be one shade that’s common amongst the other three teeth; if it’s not the primary shade, it will be in the secondary. Ideally we match the other lateral for basic shade, but if the opposite tooth stands out due to discoloration or other bad restorative work, then use the shade that’s common among the other teeth.
Once you have the basic shade, it’s important to also track common shades that are at the cervical margin. This will aid in characterizing the cervical area to blend into the arch.
In this case, the basic shade of the centrals was an A2 and the lateral was a C2. C2 was also the secondary for the centrals. The cervicals on the centrals were a B3. For block selection, I chose an A2, but used B3 to characterize the cervical and C2 to characterize the middle third. Some slight gray was added to the middle third as well. The B3 was applied to the halo at the incisal edge and because the secondary shade was C2, gray was used to get incisal translucency to better blend with the C2 characterization.
By using this approach, you have the values and shades of the restoration figured out. The rest is where to put the characterization, which is best done with photography or directly in the mouth.
SPEAR STUDY CLUB
Join a Club and Unite with
Like-Minded Peers
In virtual meetings or in-person, Study Club encourages collaboration on exclusive, real-world cases supported by curriculum from the industry leader in dental CE. Find the club closest to you today!

By: Abigail Pfeiffer
Date: December 17, 2012
Featured Digest articles
Insights and advice from Spear Faculty and industry experts


